别名:FBL4; FBL5; MTDPS13应用:IHC
反应种属:Human, Mouse
规格:50μl/100μl
| Description |
|---|
| This gene encodes a member of the F-box protein family, which are characterized by an approximately 40 amino acid motif, the F-box. F-box proteins constitute one subunit of modular E3 ubiquitin ligase complexes, called SCF complexes, which function in phosphorylation-dependent ubiquitination. The F-box domain mediates protein-protein interactions and binds directly to S-phase kinase-associated protein 1. In addition to an F-box domain, the encoded protein contains at least 9 tandem leucine-rich repeats. The ubiquitin ligase complex containing the encoded protein may function in cell-cycle control by regulating levels of lysine-specific demethylase 4A. Alternative splicing results in multiple transcript variants. |
| Specification | |
|---|---|
| Aliases | FBL4; FBL5; MTDPS13 |
| Swissprot | Q9UKA2 |
| Host/Isotype | Rabbit IgG |
| Storage | Store at 4°C short term. Aliquot and store at -20°C long term. Avoid freeze/thaw cycles. |
| Species Reactivity | Human, Mouse |
| Immunogen | Synthetic peptide of human FBXL4 |
| Formulation | pH7.4 PBS, 0.05% NaN3, 40% Glycerol |
| Application | |
|---|---|
| IHC | 1/30-1/150 |
| ELISA | 1/5000-1/10000 |
![]() |
The image is immunohistochemistry of paraffin-embedded Human ovarian cancer tissue using P13397(FBXL4 Antibody) at dilution 1/25. (Original magnification: ×200) |
![]() |
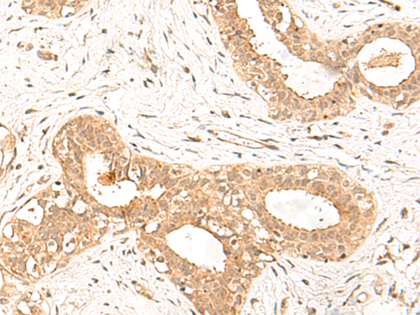
The image is immunohistochemistry of paraffin-embedded Human breast cancer tissue using P13397(FBXL4 Antibody) at dilution 1/25. (Original magnification: ×200) |
本公司的所有产品仅用于科学研究或者工业应用等非医疗目的,不可用于人类或动物的临床诊断或治疗,非药用,非食用。
暂无评论
本公司的所有产品仅用于科学研究或者工业应用等非医疗目的,不可用于人类或动物的临床诊断或治疗,非药用,非食用。
中文


发表回复