别名:F-box only protein 15, FBXO15, FBX15应用:WB,IHC
反应种属:Human
规格:50μl/100μl
| Description |
|---|
| Members of the F-box protein family, such as FBXO15, are characterized by an approximately 40-amino acid F-box motif. SCF complexes, formed by SKP1 (MIM 601434), cullin (see CUL1; MIM 603134), and F-box proteins, act as protein-ubiquitin ligases. F-box proteins interact with SKP1 through the F box, and they interact with ubiquitination targets through other protein interaction domains (Jin et al., 2004 [PubMed 15520277]).[supplied by OMIM]. |
| Specification | |
|---|---|
| Aliases | F-box only protein 15, FBXO15, FBX15 |
| Entrez GeneID | 201456 |
| Swissprot | Q8NCQ5 |
| WB Predicted band size | 57.3kDa |
| Host/Isotype | Rabbit IgG |
| Storage | Store at 4°C short term. Aliquot and store at -20°C long term. Avoid freeze/thaw cycles. |
| Species Reactivity | Human |
| Immunogen | This FBXO15 antibody is generated from rabbits immunized with a KLH conjugated synthetic peptide between 130-158 amino acids from the N-terminal region of human FBXO15. |
| Formulation | Purified polyclonal antibody supplied in PBS with 0.05% sodium azide. This antibody is purified through a protein A column, followed by peptide affinity purification. |
| Application | |
|---|---|
| WB | 1/1000 |
| IHC | 1/100-1/500 |
![]() |
FBXO15 Antibody (N-term) (Cat. #P31083) western blot analysis in NCI-H292 cell line lysates (35ug/lane).This demonstrates the FBXO15 antibody detected the FBXO15 protein (arrow). |
![]() |
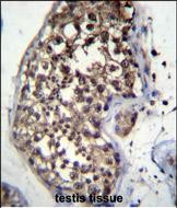
FBXO15 Antibody (N-term) (Cat. #P31083)immunohistochemistry analysis in formalin fixed and paraffin embedded human testis tissue followed by peroxidase conjugation of the secondary antibody and DAB staining.This data demonstrates the use of FBXO15 Antibody (N-term) for immunohistochemistry. Clinical relevance has not been evaluated. |
本公司的所有产品仅用于科学研究或者工业应用等非医疗目的,不可用于人类或动物的临床诊断或治疗,非药用,非食用。
暂无评论
本公司的所有产品仅用于科学研究或者工业应用等非医疗目的,不可用于人类或动物的临床诊断或治疗,非药用,非食用。
中文


发表回复