别名:High affinity immunoglobulin epsilon receptor subunit gamma, Fc receptor gamma-chain, FcRgamma, Fc-epsilon RI-gamma, IgE Fc receptor subunit gamma, FceRI gamma, FCER1G应用:WB,IHC
反应种属:Human, Mouse, Rat
规格:50μl/100μl
| Description |
|---|
| The high affinity IgE receptor is a key molecule involved in allergic reactions. It is a tetramer composed of 1 alpha, 1 beta, and 2 gamma chains. The gamma chains are also subunits of other Fc receptors. |
| Specification | |
|---|---|
| Aliases | High affinity immunoglobulin epsilon receptor subunit gamma, Fc receptor gamma-chain, FcRgamma, Fc-epsilon RI-gamma, IgE Fc receptor subunit gamma, FceRI gamma, FCER1G |
| Entrez GeneID | 2207 |
| Swissprot | P30273 |
| WB Predicted band size | 9.7kDa |
| Host/Isotype | Rabbit IgG |
| Storage | Store at 4°C short term. Aliquot and store at -20°C long term. Avoid freeze/thaw cycles. |
| Species Reactivity | Human, Mouse, Rat |
| Immunogen | This FCER1G antibody is generated from rabbits immunized with a KLH conjugated synthetic peptide between 60-86 amino acids from the C-terminal region of human FCER1G. |
| Formulation | Purified polyclonal antibody supplied in PBS with 0.05% sodium azide. This antibody is purified through a protein A column, followed by peptide affinity purification. |
| Application | |
|---|---|
| WB | 1/1000 |
| IHC | 1/100-1/500 |
![]() |
Western blot analysis of lysate from human spleen tissue lysate, using FCER1G Antibody (C-term)(Cat. #P32318). P32318 was diluted at 1:1000 at each lane. A goat anti-rabbit IgG H&L(HRP) at 1:5000 dilution was used as the secondary antibody. Lysate at 35ug per lane. |
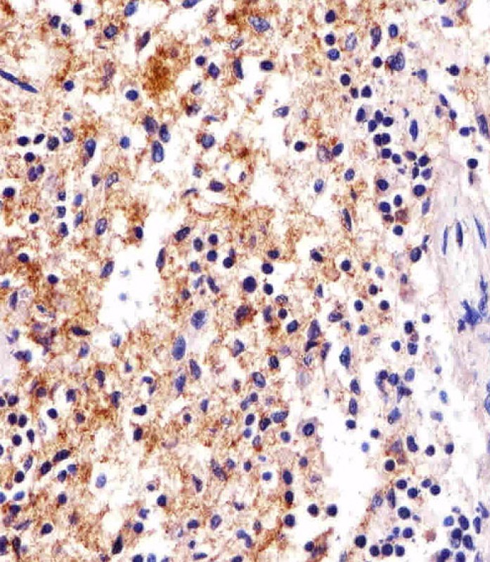
![]() |
Immunohistochemical analysis of paraffin-embedded H. spleen section using FCER1G Antibody (C-term)(Cat#P32318). P32318 was diluted at 1:25 dilution. A undiluted biotinylated goat polyvalent antibody was used as the secondary, followed by DAB staining. |
本公司的所有产品仅用于科学研究或者工业应用等非医疗目的,不可用于人类或动物的临床诊断或治疗,非药用,非食用。
暂无评论
本公司的所有产品仅用于科学研究或者工业应用等非医疗目的,不可用于人类或动物的临床诊断或治疗,非药用,非食用。
中文


发表回复