别名:FCRL; FCRX; FREB; FCRL1; FCRLX; FCRLb; FCRLd; FCRLe; FCRLM1; FCRLc1; FCRLc2应用:WB,IHC
反应种属:Human
规格:50μl/100μl
| Description |
|---|
| This gene encodes a protein similar to receptors for the Fc fragment of gamma immunoglobulin (IgG). These receptors, referred to as FCGRs, mediate the destruction of IgG-coated antigens and of cells induced by antibodies. This encoded protein is selectively expressed in B cells, and may be involved in their development. This protein may also be involved in the development of lymphomas. Multiple alternatively spliced transcript variants that encode different protein isoforms have been described for this gene. |
| Specification | |
|---|---|
| Aliases | FCRL; FCRX; FREB; FCRL1; FCRLX; FCRLb; FCRLd; FCRLe; FCRLM1; FCRLc1; FCRLc2 |
| Swissprot | Q7L513 |
| WB Predicted band size | 39 kDa |
| Host/Isotype | Rabbit IgG |
| Storage | Store at 4°C short term. Aliquot and store at -20°C long term. Avoid freeze/thaw cycles. |
| Species Reactivity | Human |
| Immunogen | Fusion protein of human FCRLA |
| Formulation | pH7.4 PBS, 0.05% NaN3, 40% Glycerol |
| Application | |
|---|---|
| WB | 1/500-1/2000 |
| IHC | 1/50-1/200 |
| ELISA | 1/5000-1/10000 |
![]() |
Gel: 8%SDS-PAGE, Lysate: 40 μg, Lane: Ramos cell lysate, Primary antibody: P03402(FCRLA Antibody) at dilution 1/750, Secondary antibody: Goat anti rabbit IgG at 1/5000 dilution, Exposure time: 1 minute |
![]() |
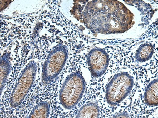
The image is immunohistochemistry of paraffin-embedded Human colorectal cancer tissue using P03402(FCRLA Antibody) at dilution 1/80. (Original magnification: ×200) |
![]() |
The image is immunohistochemistry of paraffin-embedded Human tonsil tissue using P03402(FCRLA Antibody) at dilution 1/80. (Original magnification: ×200) |
本公司的所有产品仅用于科学研究或者工业应用等非医疗目的,不可用于人类或动物的临床诊断或治疗,非药用,非食用。
暂无评论
本公司的所有产品仅用于科学研究或者工业应用等非医疗目的,不可用于人类或动物的临床诊断或治疗,非药用,非食用。
中文



发表回复