别名:EPRAP应用:IHC
反应种属:Human
规格:50μl/100μl
| Description |
|---|
| Probable component of an E3 ubiquitin-protein ligase complex, in which it may act as a substrate recognition subunit (By similarity). May participate in antiinflammatory signaling via its interaction with PTGER4. |
| Specification | |
|---|---|
| Aliases | EPRAP |
| Swissprot | Q9BSK4 |
| Host/Isotype | Rabbit IgG |
| Storage | Store at 4°C short term. Aliquot and store at -20°C long term. Avoid freeze/thaw cycles. |
| Species Reactivity | Human |
| Immunogen | Synthetic peptide of human FEM1A |
| Formulation | pH7.4 PBS, 0.05% NaN3, 40% Glycerol |
| Application | |
|---|---|
| IHC | 1/25-1/100 |
| ELISA | 1/1000-1/2000 |
![]() |
The image is immunohistochemistry of paraffin-embedded Human gasrtic cancer tissue using P11761(FEM1A Antibody) at dilution 1/20. (Original magnification: ×200) |
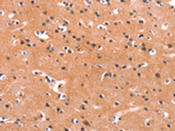
![]() |
The image is immunohistochemistry of paraffin-embedded Human brain tissue using P11761(FEM1A Antibody) at dilution 1/20. (Original magnification: ×200) |
本公司的所有产品仅用于科学研究或者工业应用等非医疗目的,不可用于人类或动物的临床诊断或治疗,非药用,非食用。
暂无评论
本公司的所有产品仅用于科学研究或者工业应用等非医疗目的,不可用于人类或动物的临床诊断或治疗,非药用,非食用。
中文


发表回复