别名:Protein FEV, Fifth Ewing variant protein, PC12 ETS domain-containing transcription factor 1, PC12 ETS factor 1, Pet-1, FEV, PET1应用:WB,IHC
反应种属:Human, Mouse, Rat
规格:50μl/100μl
| Description |
|---|
| Functions as a transcriptional regulator. According to PubMed:12761502, it functions as a transcriptional repressor. Functions in the differentiation and the maintenance of the central serotonergic neurons. May play a role in cell growth. |
| Specification | |
|---|---|
| Aliases | Protein FEV, Fifth Ewing variant protein, PC12 ETS domain-containing transcription factor 1, PC12 ETS factor 1, Pet-1, FEV, PET1 |
| Entrez GeneID | 54738 |
| Swissprot | Q99581 |
| WB Predicted band size | 25.0kDa |
| Host/Isotype | Rabbit IgG |
| Storage | Store at 4°C short term. Aliquot and store at -20°C long term. Avoid freeze/thaw cycles. |
| Species Reactivity | Human, Mouse, Rat |
| Immunogen | This FEV antibody is generated from a rabbit immunized with a KLH conjugated synthetic peptide between 17-49 amino acids from human FEV. |
| Application | |
|---|---|
| WB | 1/2000 |
| IHC | 1/100-1/500 |
![]() |
Anti-FEV Antibody (N-Term) at 1:2000 dilution + K562 whole cell lysate
Lysates/proteins at 20 µg per lane. Secondary Predicted band size : 25 kDa Blocking/Dilution buffer: 5% NFDM/TBST. |
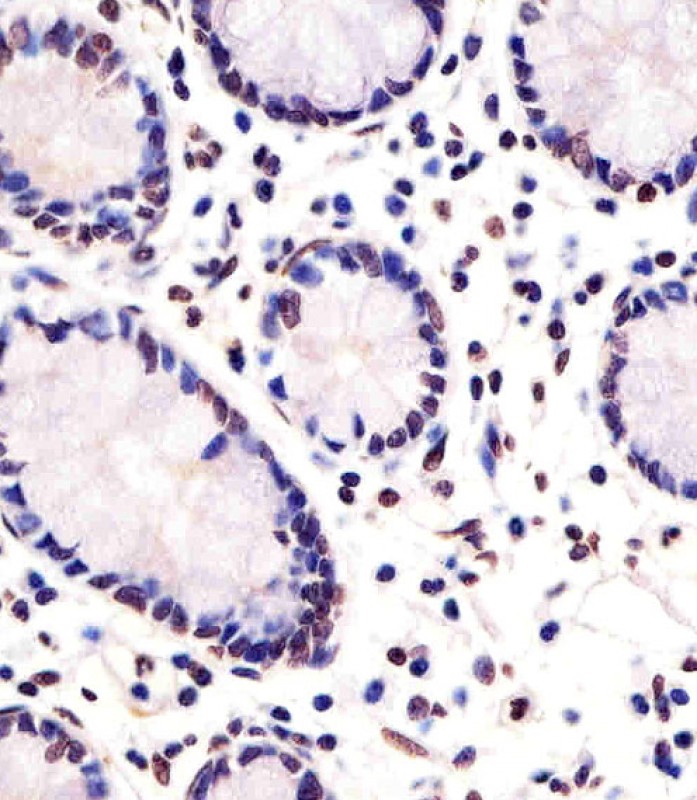
![]() |
P33322 staining FEV in human small intestine sections by Immunohistochemistry (IHC-P – paraformaldehyde-fixed, paraffin-embedded sections). Tissue was fixed with formaldehyde and blocked with 3% BSA for 0. 5 hour at room temperature; antigen retrieval was by heat mediation with a citrate buffer (pH6). Samples were incubated with primary antibody (1/25) for 1 hours at 37°C. A undiluted biotinylated goat polyvalent antibody was used as the secondary antibody. |
本公司的所有产品仅用于科学研究或者工业应用等非医疗目的,不可用于人类或动物的临床诊断或治疗,非药用,非食用。
暂无评论
本公司的所有产品仅用于科学研究或者工业应用等非医疗目的,不可用于人类或动物的临床诊断或治疗,非药用,非食用。
中文


发表回复