别名:FGF18; Fibroblast growth factor 18; FGF-18; zFGF5应用:WB,IHC
反应种属:Human,Mouse,Rat
规格:50μl/100μl
| Description |
|---|
| The protein encoded by this gene is a member of the fibroblast growth factor (FGF) family. FGF family members possess broad mitogenic and cell survival activities, and are involved in a variety of biological processes, including embryonic development, cell growth, morphogenesis, tissue repair, tumor growth, and invasion. It has been shown in vitro that this protein is able to induce neurite outgrowth in PC12 cells. Studies of the similar proteins in mouse and chick suggested that this protein is a pleiotropic growth factor that stimulates proliferation in a number of tissues, most notably the liver and small inTine. Knockout studies of the similar gene in mice implied the role of this protein in regulating proliferation and differentiation of midline cerebellar structures. |
| Specification | |
|---|---|
| Aliases | FGF18; Fibroblast growth factor 18; FGF-18; zFGF5 |
| Entrez GeneID | 8817 |
| Swissprot | O76093 |
| WB Predicted band size | Calculated MW: 24 kDa; Observed MW: 28 kDa |
| Host/Isotype | Rabbit IgG |
| Storage | Store at 4°C short term. Aliquot and store at -20°C long term. Avoid freeze/thaw cycles. |
| Species Reactivity | Human,Mouse,Rat |
| Immunogen | The antiserum was produced against synthesized peptide derived from the C-terminal region of human FGF18. AA range:158-207 |
| Formulation | Liquid in PBS containing 50% glycerol, 0.5% BSA and 0.02% sodium azide, pH 7.3. |
| Application | |
|---|---|
| WB | 1/500-1/1000 |
| IHC | 1/50-1/100 |
| ELISA | 1/10000 |
![]() |
Western blot analysis of FGF18 in SW480, SKOV-3, BT474, mouse heart lysates using FGF18 antibody. |
![]() |
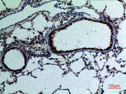
Immunohistochemistry analysis of paraffin-embedded rat lung using FGF18 antibody.High-pressure and temperature Sodium Citrate pH 6.0 was used for antigen retrieval. |
![]() |
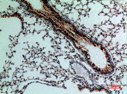
Immunohistochemistry analysis of paraffin-embedded mouse lung using FGF18 antibody. High-pressure and temperature Sodium Citrate pH 6.0 was used for antigen retrieval. |
本公司的所有产品仅用于科学研究或者工业应用等非医疗目的,不可用于人类或动物的临床诊断或治疗,非药用,非食用。
暂无评论
本公司的所有产品仅用于科学研究或者工业应用等非医疗目的,不可用于人类或动物的临床诊断或治疗,非药用,非食用。
中文



发表回复