别名:FGF2; FGFB; Fibroblast growth factor 2; FGF-2; Basic fibroblast growth factor; bFGF; Heparin-binding growth factor 2; HBGF-2应用:WB,IHC
反应种属:Human,Mouse,Rat
规格:50μl/100μl
| Description |
|---|
| Plays an important role in the regulation of cell survival, cell division, angiogenesis, cell differentiation and cell migration. Functions as potent mitogen in vitro. Can induce angiogenesis. |
| Specification | |
|---|---|
| Aliases | FGF2; FGFB; Fibroblast growth factor 2; FGF-2; Basic fibroblast growth factor; bFGF; Heparin-binding growth factor 2; HBGF-2 |
| Entrez GeneID | 2247 |
| Swissprot | P09038 |
| WB Predicted band size | Calculated MW: 31 kDa; Observed MW: 31 kDa |
| Host/Isotype | Rabbit IgG |
| Storage | Store at 4°C short term. Aliquot and store at -20°C long term. Avoid freeze/thaw cycles. |
| Species Reactivity | Human,Mouse,Rat |
| Immunogen | The antiserum was produced against synthesized peptide derived from the Internal region of human FGF2. AA range:151-200 |
| Formulation | Liquid in PBS containing 50% glycerol, 0.5% BSA and 0.02% sodium azide, pH 7.3. |
| Application | |
|---|---|
| WB | 1/500-1/1000 |
| IHC | 1/50-1/100 |
| ELISA | 1/10000 |
![]() |
Western blot analysis of FGF2 in K562 lysates using FGF2 antibody. |
![]() |
Immunohistochemistry analysis of paraffin-embedded Human coloncancer using FGF2 antibody.High-pressure and temperature Sodium Citrate pH 6.0 was used for antigen retrieval. |
![]() |
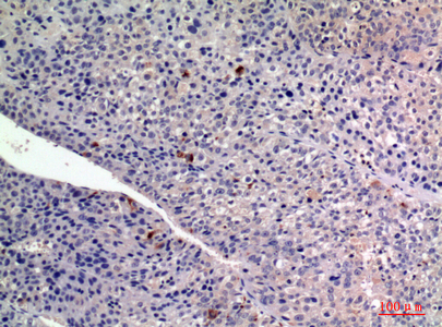
Immunohistochemistry analysis of paraffin-embedded Human livercancer using FGF2 antibody. High-pressure and temperature Sodium Citrate pH 6.0 was used for antigen retrieval. |
本公司的所有产品仅用于科学研究或者工业应用等非医疗目的,不可用于人类或动物的临床诊断或治疗,非药用,非食用。
暂无评论
本公司的所有产品仅用于科学研究或者工业应用等非医疗目的,不可用于人类或动物的临床诊断或治疗,非药用,非食用。
中文



发表回复