别名:FGF20; Fibroblast growth factor 20; FGF-20应用:WB,IHC
反应种属:Human,Mouse,Rat
规格:50μl/100μl
| Description |
|---|
| The protein encoded by this gene is a member of the fibroblast growth factor family. The fibroblast growth factors possess broad mitogenic and cell survival activities, and are involved in a variety of biological processes including embryonic development, cell growth, morphogenesis, tissue repair, tumor growth and invasion. This gene product is a secreted neurotrophic factor but lacks a typical signal peptide. It is expressed in normal brain, particularly the cerebellum, and may regulate central nervous system development and function. Homodimerization of this protein was shown to regulate its receptor binding activity and concentration gradient in the extracellular matrix. Genetic variations of this gene have been associated with Parkinson disease susceptibility. |
| Specification | |
|---|---|
| Aliases | FGF20; Fibroblast growth factor 20; FGF-20 |
| Entrez GeneID | 26281 |
| Swissprot | Q9NP95 |
| WB Predicted band size | Calculated MW: 23 kDa; Observed MW: 23 kDa |
| Host/Isotype | Rabbit IgG |
| Storage | Store at 4°C short term. Aliquot and store at -20°C long term. Avoid freeze/thaw cycles. |
| Species Reactivity | Human,Mouse,Rat |
| Immunogen | The antiserum was produced against synthesized peptide derived from the Internal region of human FGF20. AA range:151-200 |
| Formulation | Liquid in PBS containing 50% glycerol, 0.5% BSA and 0.02% sodium azide, pH 7.3. |
| Application | |
|---|---|
| WB | 1/500-1/1000 |
| IHC | 1/50-1/100 |
| ELISA | 1/10000 |
![]() |
Western blot analysis of FGF20 in SW480, MCF-7, HL-60, BT474, mouse colon lysates using FGF20 antibody. |
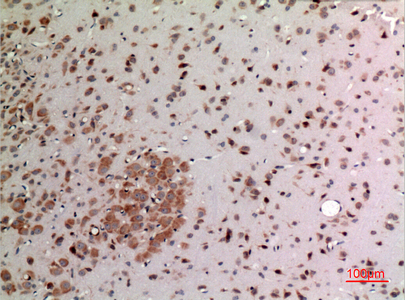
![]() |
Immunohistochemistry analysis of paraffin-embedded rat brain using FGF20 antibody.High-pressure and temperature Sodium Citrate pH 6.0 was used for antigen retrieval. |
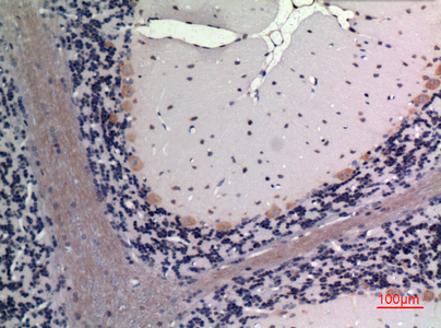
![]() |
Immunohistochemistry analysis of paraffin-embedded rat brain using FGF20 antibody. High-pressure and temperature Sodium Citrate pH 6.0 was used for antigen retrieval. |
本公司的所有产品仅用于科学研究或者工业应用等非医疗目的,不可用于人类或动物的临床诊断或治疗,非药用,非食用。
暂无评论
本公司的所有产品仅用于科学研究或者工业应用等非医疗目的,不可用于人类或动物的临床诊断或治疗,非药用,非食用。
中文



发表回复