别名:FGF5; Fibroblast growth factor 5; FGF-5; Heparin-binding growth factor 5; HBGF-5; Smag-82应用:WB,IHC
反应种属:Human
规格:50μl/100μl
| Description |
|---|
| The protein encoded by this gene is a member of the fibroblast growth factor (FGF) family. FGF family members possess broad mitogenic and cell survival activities, and are involved in a variety of biological processes, including embryonic development, cell growth, morphogenesis, tissue repair, tumor growth and invasion. This gene was identified as an oncogene, which confers transforming potential when transfected into mammalian cells. Targeted disruption of the homolog of this gene in mouse resulted in the phenotype of abnormally long hair, which suggested a function as an inhibitor of hair elongation. Alternatively spliced transcript variants encoding different isoforms have been identified. |
| Specification | |
|---|---|
| Aliases | FGF5; Fibroblast growth factor 5; FGF-5; Heparin-binding growth factor 5; HBGF-5; Smag-82 |
| Entrez GeneID | 2250 |
| Swissprot | P12034 |
| WB Predicted band size | Calculated MW: 30 kDa; Observed MW: 30 kDa |
| Host/Isotype | Rabbit IgG |
| Storage | Store at 4°C short term. Aliquot and store at -20°C long term. Avoid freeze/thaw cycles. |
| Species Reactivity | Human |
| Immunogen | The antiserum was produced against synthesized peptide derived from the C-terminal region of human FGF5. AA range:211-260 |
| Formulation | Liquid in PBS containing 50% glycerol, 0.5% BSA and 0.02% sodium azide, pH 7.3. |
| Application | |
|---|---|
| WB | 1/500-1/1000 |
| IHC | 1/50-1/100 |
| ELISA | 1/10000 |
![]() |
Western blot analysis of FGF5 in mouse liver lysates using FGF5 antibody. |
![]() |
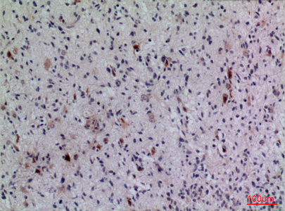
Immunohistochemistry analysis of paraffin-embedded Human brain using FGF5 antibody.High-pressure and temperature Sodium Citrate pH 6.0 was used for antigen retrieval. |
本公司的所有产品仅用于科学研究或者工业应用等非医疗目的,不可用于人类或动物的临床诊断或治疗,非药用,非食用。
暂无评论
本公司的所有产品仅用于科学研究或者工业应用等非医疗目的,不可用于人类或动物的临床诊断或治疗,非药用,非食用。
中文


发表回复