别名:FIB; FLRN; Nop1; RNU3IP1应用:WB,IHC,ICC,FCM,IP
反应种属:Human,Mouse,Rat
规格:50μl/100μl
| Description |
|---|
| Fibrillarin is a 2′-O-methyltransferase located in fibrillar regions and Cajal bodies of the nucleolus, where RNA transcription and pre-RNA processing take place. Fibrillarin associates with several other structual proteins as well as box C/D snoRNA to form a complex that functions in pre-rRNA processing, pre-rRNA methylation and ribosome assembly. This complex catalyzes site-specific 2′-O-ribose methylation of targeted nucleotides within the rRNA sequence. The sequence, structure and function of fibrillarin are highly conserved and fibrillarin gene expression is essential for early embryonic development. |
| Specification | |
|---|---|
| Aliases | FIB; FLRN; Nop1; RNU3IP1 |
| Entrez GeneID | 2091 |
| Swissprot | P22087 |
| WB Predicted band size | Calculated MW: 34 kDa; Observed MW: 34 kDa |
| Host/Isotype | Rabbit IgG |
| Storage | Store at 4°C short term. Aliquot and store at -20°C long term. Avoid freeze/thaw cycles. |
| Species Reactivity | Human,Mouse,Rat |
| Immunogen | A synthesized peptide derived from human Fibrillarin |
| Formulation | Rabbit IgG in phosphate buffered saline , pH 7.4, 150mM NaCl, 0.02% sodium azide and 50% glycerol. |
| Application | |
|---|---|
| IP | 1/20 |
| WB | 1/500-1/1000 |
| IHC | 1/50-1/100 |
| ICC | 1/50-1/200 |
| FCM | 1/50-1/100 |
![]() |
Western blot analysis of Fibrillarin in HepG2 lysates using Fibrillarin antibody. |
![]() |
Immunofluorescence analysis of Fibrillarin in Hela using Fibrillarin antibody. |
![]() |
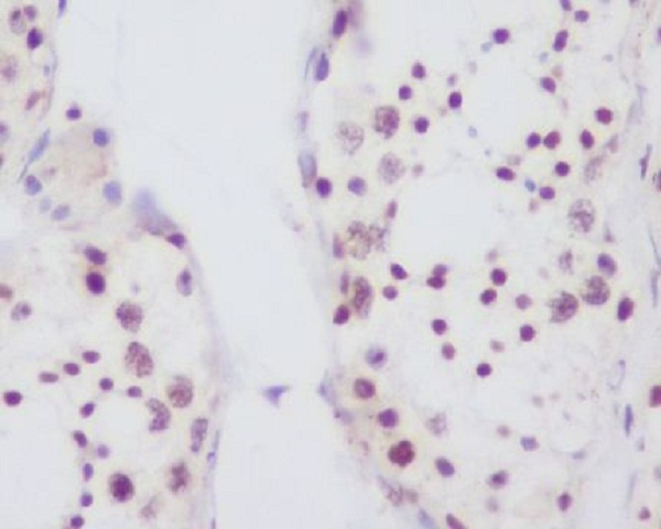
Immunohistochemistry analysis of paraffin-embedded Human testis using Fibrillarin antibody.High-pressure and temperature Sodium Citrate pH 6.0 was used for antigen retrieval. |
本公司的所有产品仅用于科学研究或者工业应用等非医疗目的,不可用于人类或动物的临床诊断或治疗,非药用,非食用。
暂无评论
本公司的所有产品仅用于科学研究或者工业应用等非医疗目的,不可用于人类或动物的临床诊断或治疗,非药用,非食用。
中文



发表回复