别名:Peptidyl-prolyl cis-trans isomerase FKBP11, PPIase FKBP11, 19 kDa FK506-binding protein, 19 kDa FKBP, FKBP-19, FK506-binding protein 11, FKBP-11, Rotamase, FKBP11, FKBP19应用:WB,IHC,FCM
反应种属:Human, Mouse
规格:50μl/100μl
| Description |
|---|
| FKBP11 belongs to the FKBP family of peptidyl-prolyl cis/trans isomerases, which catalyze the folding of proline-containing polypeptides. The peptidyl-prolyl isomerase activity of FKBP proteins is inhibited by the immunosuppressant compounds FK506 and rapamycin. |
| Specification | |
|---|---|
| Aliases | Peptidyl-prolyl cis-trans isomerase FKBP11, PPIase FKBP11, 19 kDa FK506-binding protein, 19 kDa FKBP, FKBP-19, FK506-binding protein 11, FKBP-11, Rotamase, FKBP11, FKBP19 |
| Entrez GeneID | 51303 |
| Swissprot | Q9NYL4 |
| WB Predicted band size | 22.2kDa |
| Host/Isotype | Rabbit IgG |
| Storage | Store at 4°C short term. Aliquot and store at -20°C long term. Avoid freeze/thaw cycles. |
| Species Reactivity | Human, Mouse |
| Immunogen | This FKBP11 antibody is generated from rabbits immunized with a KLH conjugated synthetic peptide between 52-82 amino acids from the N-terminal region of human FKBP11. |
| Formulation | Purified polyclonal antibody supplied in PBS with 0.05% sodium azide. This antibody is prepared by Saturated Ammonium Sulfate (SAS) precipitation followed by dialysis against PBS. |
| Application | |
|---|---|
| WB | 1/1000 |
| IHC | 1/100-1/500 |
| FCM | 1/10-1/50 |
![]() |
Western blot analysis of FKBP11 Antibody (N-term) (Cat. #P30413) in mouse stomach tissue lysates (35ug/lane). FKBP11 (arrow) was detected using the purified Pab. |
![]() |
FKBP11 Antibody (N-term) (Cat. #P30413) flow cytometric analysis of HL-60 cells (right histogram) compared to a negative control cell (left histogram).FITC-conjugated goat-anti-rabbit secondary antibodies were used for the analysis. |
![]() |
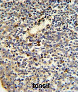
FKBP11 Antibody (N-term) (Cat. #P30413) IHC analysis in formalin fixed and paraffin embedded human tonsil tissue followed by peroxidase conjugation of the secondary antibody and DAB staining. This data demonstrates the use of the FKBP11 Antibody (N-term) for immunohistochemistry. Clinical relevance has not been evaluated. |
本公司的所有产品仅用于科学研究或者工业应用等非医疗目的,不可用于人类或动物的临床诊断或治疗,非药用,非食用。
暂无评论
本公司的所有产品仅用于科学研究或者工业应用等非医疗目的,不可用于人类或动物的临床诊断或治疗,非药用,非食用。
中文



发表回复