别名:FKBP-3; FKBP25; PPIase; FKBP-25应用:WB,IHC
反应种属:Human, Mouse
规格:50μl/100μl
| Description |
|---|
| The protein encoded by this gene is a member of the immunophilin protein family, which play a role in immunoregulation and basic cellular processes involving protein folding and trafficking. This encoded protein is a cis-trans prolyl isomerase that binds the immunosuppressants FK506 and rapamycin, as well as histone deacetylases, the transcription factor YY1, casein kinase II, and nucleolin. It has a higher affinity for rapamycin than for FK506 and thus may be an important target molecule for immunosuppression by rapamycin. |
| Specification | |
|---|---|
| Aliases | FKBP-3; FKBP25; PPIase; FKBP-25 |
| Swissprot | Q00688 |
| WB Predicted band size | 25 kDa |
| Host/Isotype | Rabbit IgG |
| Storage | Store at 4°C short term. Aliquot and store at -20°C long term. Avoid freeze/thaw cycles. |
| Species Reactivity | Human, Mouse |
| Immunogen | Fusion protein of human FKBP3 |
| Formulation | pH7.4 PBS, 0.05% NaN3, 40% Glycerol |
| Application | |
|---|---|
| WB | 1/1000-1/5000 |
| IHC | 1/200-1/300 |
| ELISA | 1/5000-1/10000 |
![]() |
Gel: 12%SDS-PAGE, Lysate: 40 μg, Lane 1-2: Human bladder transitional cell carcinoma grade 2-3 tissue, Human bladder transitional cell carcinoma cancer next level 2-3 tissue lysate, Primary antibody: P03468(FKBP3 Antibody) at dilution 1/1000, Secondary antibody: Goat anti rabbit IgG at 1/5000 dilution, Exposure time: 10 seconds |
![]() |
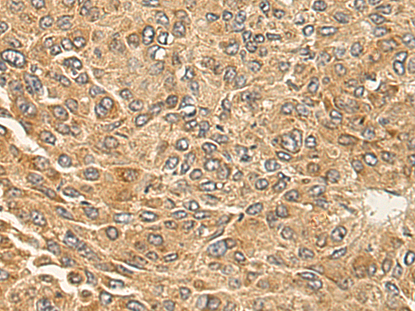
The image is immunohistochemistry of paraffin-embedded Human liver cancer tissue using P03468(FKBP3 Antibody) at dilution 1/170. (Original magnification: ×200) |
本公司的所有产品仅用于科学研究或者工业应用等非医疗目的,不可用于人类或动物的临床诊断或治疗,非药用,非食用。
暂无评论
本公司的所有产品仅用于科学研究或者工业应用等非医疗目的,不可用于人类或动物的临床诊断或治疗,非药用,非食用。
中文


发表回复