别名:ABPA; ABPL; FLN2; MFM5; MPD4; RCM5; CMH26; ABP-280; ABP280A应用:WB,IHC
反应种属:Human, Mouse, Rat
规格:50μl/100μl
| Description |
|---|
| This gene encodes one of three related filamin genes, specifically gamma filamin. These filamin proteins crosslink actin filaments into orthogonal networks in cortical cytoplasm and participate in the anchoring of membrane proteins for the actin cytoskeleton. Three functional domains exist in filamin: an N-terminal filamentous actin-binding domain, a C-terminal self-association domain, and a membrane glycoprotein-binding domain. Two transcript variants encoding different isoforms have been found for this gene. |
| Specification | |
|---|---|
| Aliases | ABPA; ABPL; FLN2; MFM5; MPD4; RCM5; CMH26; ABP-280; ABP280A |
| Swissprot | Q14315 |
| WB Predicted band size | 291 kDa |
| Host/Isotype | Rabbit IgG |
| Storage | Store at 4°C short term. Aliquot and store at -20°C long term. Avoid freeze/thaw cycles. |
| Species Reactivity | Human, Mouse, Rat |
| Immunogen | Synthetic peptide of human FLNC |
| Formulation | pH7.4 PBS, 0.05% NaN3, 40% Glycerol |
| Application | |
|---|---|
| WB | 1/500-1/2000 |
| IHC | 1/40-1/200 |
| ELISA | 1/5000-1/10000 |
![]() |
Gel: 6%SDS-PAGE, Lysate: 40 μg, Lane 1-2: A172 and NIH/3T3 cell lysates, Primary antibody: P13419(FLNC Antibody) at dilution 1/800, Secondary antibody: Goat anti rabbit IgG at 1/5000 dilution, Exposure time: 2 minutes |
![]() |
The image is immunohistochemistry of paraffin-embedded Human ovarian cancer tissue using P13419(FLNC Antibody) at dilution 1/35. (Original magnification: ×200) |
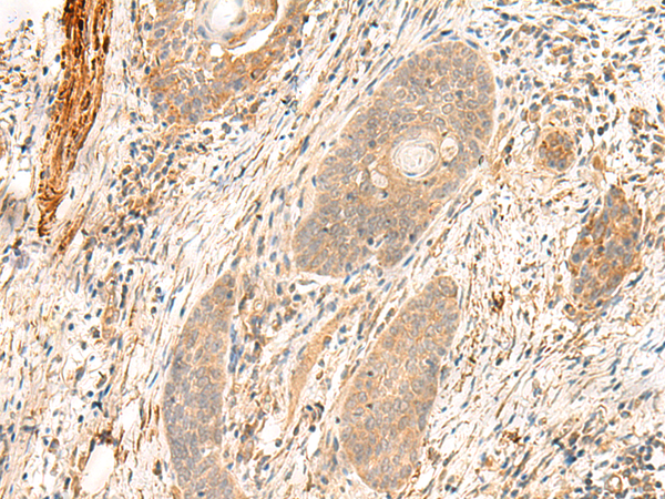
![]() |
The image is immunohistochemistry of paraffin-embedded Human esophagus cancer tissue using P13419(FLNC Antibody) at dilution 1/35. (Original magnification: ×200) |
本公司的所有产品仅用于科学研究或者工业应用等非医疗目的,不可用于人类或动物的临床诊断或治疗,非药用,非食用。
暂无评论
本公司的所有产品仅用于科学研究或者工业应用等非医疗目的,不可用于人类或动物的临床诊断或治疗,非药用,非食用。
中文



发表回复