别名:FN3KL应用:WB,IHC
反应种属:Human, Mouse
规格:50μl/100μl
| Description |
|---|
| A high concentration of glucose can result in non-enzymatic oxidation of proteins by reaction of glucose and lysine residues (glycation). Proteins modified in this way are less active or functional. This gene encodes an enzyme which catalyzes the phosphorylation of psicosamines and ribulosamines compared to the neighboring gene which encodes a highly similar enzyme, fructosamine-3-kinase, which has different substrate specificity. The activity of both enzymes may result in deglycation of proteins to restore their function. Alternative splicing results in multiple transcript variants. |
| Specification | |
|---|---|
| Aliases | FN3KL |
| Swissprot | Q9HA64 |
| WB Predicted band size | 34 kDa |
| Host/Isotype | Rabbit IgG |
| Storage | Store at 4°C short term. Aliquot and store at -20°C long term. Avoid freeze/thaw cycles. |
| Species Reactivity | Human, Mouse |
| Immunogen | Synthetic peptide of human FN3KRP |
| Formulation | pH7.4 PBS, 0.05% NaN3, 40% Glycerol |
| Application | |
|---|---|
| WB | 1/500-1/2000 |
| IHC | 1/50-1/300 |
| ELISA | 1/5000-1/10000 |
![]() |
Gel: 8%SDS-PAGE, Lysate: 40 μg, Lane 1-2: Mouse brain tissue, Human cerebrum tissue lysates, Primary antibody: P06816(FN3KRP Antibody) at dilution 1/1000, Secondary antibody: Goat anti rabbit IgG at 1/5000 dilution, Exposure time: 90 seconds |
![]() |
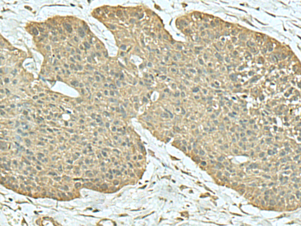
The image is immunohistochemistry of paraffin-embedded Human esophagus cancer tissue using P06816(FN3KRP Antibody) at dilution 1/55. (Original magnification: ×200) |
本公司的所有产品仅用于科学研究或者工业应用等非医疗目的,不可用于人类或动物的临床诊断或治疗,非药用,非食用。
暂无评论
本公司的所有产品仅用于科学研究或者工业应用等非医疗目的,不可用于人类或动物的临床诊断或治疗,非药用,非食用。
中文


发表回复