别名:BF1; BF2; QIN; FKH2; HBF2; HFK1; HFK2; HFK3; KHL2; FHKL3; FKHL1; FKHL2; FKHL3; FKHL4; HBF-1; HBF-2; HBF-3; FOXG1A; FOXG1B; FOXG1C; HBF-G2应用:WB,IHC
反应种属:Human, Mouse, Rat
规格:50μl/100μl
| Description |
|---|
| This locus encodes a member of the forked-head transcription factor family. The encoded protein, which functions as a repressor, may play a role in brain development. Mutations at this locus have been associated with Rett syndrome. |
| Specification | |
|---|---|
| Aliases | BF1; BF2; QIN; FKH2; HBF2; HFK1; HFK2; HFK3; KHL2; FHKL3; FKHL1; FKHL2; FKHL3; FKHL4; HBF-1; HBF-2; HBF-3; FOXG1A; FOXG1B; FOXG1C; HBF-G2 |
| Swissprot | P55316 |
| WB Predicted band size | 52 kDa |
| Host/Isotype | Rabbit IgG |
| Storage | Store at 4°C short term. Aliquot and store at -20°C long term. Avoid freeze/thaw cycles. |
| Species Reactivity | Human, Mouse, Rat |
| Immunogen | Synthetic peptide of human FOXG1 |
| Formulation | pH7.4 PBS, 0.05% NaN3, 40% Glycerol |
| Application | |
|---|---|
| WB | 1/500-1/2000 |
| IHC | 1/45-1/300 |
| ELISA | 1/2000-1/5000 |
![]() |
Gel: 8%SDS-PAGE, Lysate: 40 μg, Lane: Mouse brain tissue , Primary antibody: P05649(FOXG1 Antibody) at dilution 1/550, Secondary antibody: Goat anti rabbit IgG at 1/8000 dilution, Exposure time: 15 seconds |
![]() |
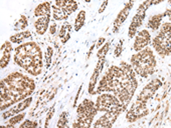
The image is immunohistochemistry of paraffin-embedded Human esophagus cancer tissue using P05649(FOXG1 Antibody) at dilution 1/60. (Original magnification: ×200) |
本公司的所有产品仅用于科学研究或者工业应用等非医疗目的,不可用于人类或动物的临床诊断或治疗,非药用,非食用。
暂无评论
本公司的所有产品仅用于科学研究或者工业应用等非医疗目的,不可用于人类或动物的临床诊断或治疗,非药用,非食用。
中文


发表回复