别名:HFH3; FKH10; HFH-3; FKHL10; FREAC6; FREAC-6应用:WB,IHC
反应种属:Human
规格:50μl/100μl
| Description |
|---|
| This gene belongs to the forkhead family of transcription factors, which is characterized by a distinct forkhead domain. This gene may play an important role in the development of the cochlea and vestibulum, as well as in embryogenesis. The encoded protein has been found to be required for the transcription of four subunits of a proton pump found in the inner ear, the kidney, and the epididymis. Mutations in this gene have been associated with deafness, autosomal recessive 4. |
| Specification | |
|---|---|
| Aliases | HFH3; FKH10; HFH-3; FKHL10; FREAC6; FREAC-6 |
| Swissprot | Q12951 |
| WB Predicted band size | 41 kDa |
| Host/Isotype | Rabbit IgG |
| Storage | Store at 4°C short term. Aliquot and store at -20°C long term. Avoid freeze/thaw cycles. |
| Species Reactivity | Human |
| Immunogen | Synthetic peptide of human FOXI1 |
| Formulation | pH7.4 PBS, 0.05% NaN3, 40% Glycerol |
| Application | |
|---|---|
| WB | 1/500-1/2000 |
| IHC | 1/50-1/200 |
| ELISA | 1/5000-1/10000 |
![]() |
Gel: 8%SDS-PAGE, Lysate: 40 μg, Lane: Human heart tissue lysate, Primary antibody: P13425(FOXI1 Antibody) at dilution 1/800, Secondary antibody: Goat anti rabbit IgG at 1/5000 dilution, Exposure time: 1 minute |
![]() |
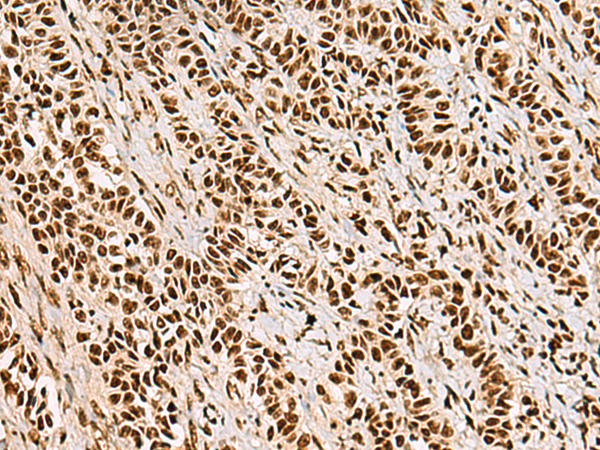
The image is immunohistochemistry of paraffin-embedded Human ovarian cancer tissue using P13425(FOXI1 Antibody) at dilution 1/55. (Original magnification: ×200) |
![]() |
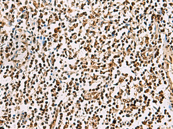
The image is immunohistochemistry of paraffin-embedded Human tonsil tissue using P13425(FOXI1 Antibody) at dilution 1/55. (Original magnification: ×200) |
本公司的所有产品仅用于科学研究或者工业应用等非医疗目的,不可用于人类或动物的临床诊断或治疗,非药用,非食用。
暂无评论
本公司的所有产品仅用于科学研究或者工业应用等非医疗目的,不可用于人类或动物的临床诊断或治疗,非药用,非食用。
中文



发表回复