别名:FOXO1; FKHR; FOXO1A; Forkhead box protein O1; Forkhead box protein O1A; Forkhead in rhabdomyosarcoma应用:WB,IHC,ICC
反应种属:Human,Mouse,Rat,Pig
规格:50μl/100μl
| Description |
|---|
| Transcription factor which acts as a regulator of cell responses to oxidative stress. In the presence of KIRT1, mediates down-regulation of cyclin D1 and up-regulation of CDKN1B levels which are required for cell transition from proliferative growth to quiescence. |
| Specification | |
|---|---|
| Aliases | FOXO1; FKHR; FOXO1A; Forkhead box protein O1; Forkhead box protein O1A; Forkhead in rhabdomyosarcoma |
| Entrez GeneID | 2308 |
| Swissprot | Q12778 |
| WB Predicted band size | Calculated MW: 70 kDa; Observed MW: 78 kDa |
| Host/Isotype | Rabbit IgG |
| Storage | Store at 4°C short term. Aliquot and store at -20°C long term. Avoid freeze/thaw cycles. |
| Species Reactivity | Human,Mouse,Rat,Pig |
| Immunogen | The antiserum was produced against synthesized peptide derived from human FKHR. AA range:223-272 |
| Formulation | Liquid in PBS containing 50% glycerol, 0.5% BSA and 0.02% sodium azide, pH 7.3. |
| Application | |
|---|---|
| WB | 1/500-1/1000 |
| IHC | 1/50-1/100 |
| ICC | 1/50-1/200 |
| ELISA | 1/10000 |
![]() |
Western blot analysis of FoxO1 in CHO-K1, C6 and Hela lysates using FoxO1 antibody. |
![]() |
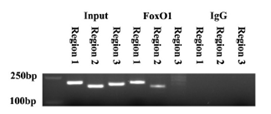
ChIPPCR detected the FoxO1 binding sites in the AdipoQ promoter region. |
本公司的所有产品仅用于科学研究或者工业应用等非医疗目的,不可用于人类或动物的临床诊断或治疗,非药用,非食用。
暂无评论
本公司的所有产品仅用于科学研究或者工业应用等非医疗目的,不可用于人类或动物的临床诊断或治疗,非药用,非食用。
中文


发表回复