别名:FOXO1; FKHR; FOXO1A; Forkhead box protein O1; Forkhead box protein O1A; Forkhead in rhabdomyosarcoma应用:WB,IHC,ICC
反应种属:Human,Mouse,Rat
规格:50μl/100μl
| Description |
|---|
| Transcription factor which acts as a regulator of cell responses to oxidative stress. In the presence of KIRT1, mediates down-regulation of cyclin D1 and up-regulation of CDKN1B levels which are required for cell transition from proliferative growth to quiescence. |
| Specification | |
|---|---|
| Aliases | FOXO1; FKHR; FOXO1A; Forkhead box protein O1; Forkhead box protein O1A; Forkhead in rhabdomyosarcoma |
| Entrez GeneID | 2308 |
| Swissprot | Q12778 |
| WB Predicted band size | Calculated MW: 70 kDa; Observed MW: 70 kDa |
| Host/Isotype | Rabbit IgG |
| Storage | Store at 4°C short term. Aliquot and store at -20°C long term. Avoid freeze/thaw cycles. |
| Species Reactivity | Human,Mouse,Rat |
| Immunogen | A synthesized peptide derived from human FoxO1a |
| Formulation | Rabbit IgG in phosphate buffered saline , pH 7.4, 150mM NaCl, 0.02% sodium azide and 50% glycerol. |
| Application | |
|---|---|
| WB | 1/500-1/1000 |
| IHC | 1/50-1/100 |
| ICC | 1/50-1/200 |
![]() |
Western blot analysis of FoxO1a in Jurkat, THP-1, SKOV-3, MCF-7 and Hela lysates using FOXO1 antibody. |
![]() |
Immunofluorescence analysis of FOXO1 in Hela using FoxO1a antibody. |
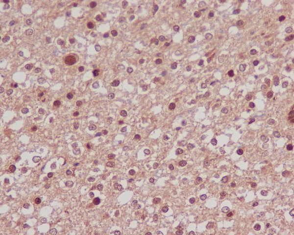
![]() |
Immunohistochemistry analysis of paraffin-embedded Human brain carcinoma using FoxO1a antibody.High-pressure and temperature Sodium Citrate pH 6.0 was used for antigen retrieval. |
本公司的所有产品仅用于科学研究或者工业应用等非医疗目的,不可用于人类或动物的临床诊断或治疗,非药用,非食用。
暂无评论
本公司的所有产品仅用于科学研究或者工业应用等非医疗目的,不可用于人类或动物的临床诊断或治疗,非药用,非食用。
中文



发表回复