别名:FOXP3; IPEX; JM2; Forkhead box protein P3; Scurfin应用:WB,IHC
反应种属:Human,Mouse,Rat
规格:50μl/100μl
| Description |
|---|
| Defects in FOXP3 are the cause of immunodeficiency polyendocrinopathy, enteropathy, X-linked syndrome (IPEX) [MIM:304790]; also known as X-linked autoimmunity-immunodeficiency syndrome. IPEX is characterized by neonatal onset insulin-dependent diabetes mellitus, infections, secretory diarrhea, trombocytopenia, anemia and eczema. It is usually lethal in infancy. |
| Specification | |
|---|---|
| Aliases | FOXP3; IPEX; JM2; Forkhead box protein P3; Scurfin |
| Entrez GeneID | 50943 |
| Swissprot | Q9BZS1 |
| WB Predicted band size | Calculated MW: 47 kDa; Observed MW: 47 kDa |
| Host/Isotype | Rabbit IgG |
| Storage | Store at 4°C short term. Aliquot and store at -20°C long term. Avoid freeze/thaw cycles. |
| Species Reactivity | Human,Mouse,Rat |
| Immunogen | The antiserum was produced against synthesized peptide derived from the C-terminal region of human FOXP3. AA range:381-430 |
| Formulation | Liquid in PBS containing 50% glycerol, 0.5% BSA and 0.02% sodium azide, pH 7.3. |
| Application | |
|---|---|
| WB | 1/500-1/1000 |
| IHC | 1/50-1/100 |
| ELISA | 1/10000 |
![]() |
Western blot analysis of FOXP3 in PC-12 lysates using FOXP3 antibody. |
![]() |
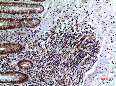
Immunohistochemistry analysis of paraffin-embedded Human colon using FOXP3 antibody.High-pressure and temperature Sodium Citrate pH 6.0 was used for antigen retrieval. |
![]() |
Immunohistochemistry analysis of paraffin-embedded Human tonsilla using FOXP3 antibody.High-pressure and temperature Sodium Citrate pH 6.0 was used for antigen retrieval. |
![]() |
Immunohistochemistry analysis of paraffin-embedded Human bladder cancer using FOXP3 antibody. High-pressure and temperature Tris-EDTA was used for antigen retrieval. |
![]() |
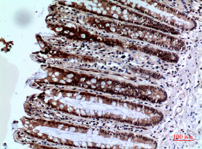
Immunohistochemistry analysis of paraffin-embedded Human colon using FOXP3 antibody.High-pressure and temperature Sodium Citrate pH 6.0 was used for antigen retrieval. |
![]() |
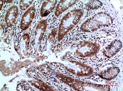
Immunohistochemistry analysis of paraffin-embedded Human colon using FOXP3 antibody.High-pressure and temperature Sodium Citrate pH 6.0 was used for antigen retrieval. |
本公司的所有产品仅用于科学研究或者工业应用等非医疗目的,不可用于人类或动物的临床诊断或治疗,非药用,非食用。
暂无评论
本公司的所有产品仅用于科学研究或者工业应用等非医疗目的,不可用于人类或动物的临床诊断或治疗,非药用,非食用。
中文






发表回复