别名:ERFAD应用:WB,IHC
反应种属:Human
规格:50μl/100μl
| Description |
|---|
| Probable flavoprotein which may function in endoplasmic reticulum associated degradation (ERAD). May bind non-native proteins in the endoplasmic reticulum and target them to the ubiquitination machinery for subsequent degradation. |
| Specification | |
|---|---|
| Aliases | ERFAD |
| Swissprot | Q8IWF2 |
| WB Predicted band size | 78 kDa |
| Host/Isotype | Rabbit IgG |
| Storage | Store at 4°C short term. Aliquot and store at -20°C long term. Avoid freeze/thaw cycles. |
| Species Reactivity | Human |
| Immunogen | Fusion protein of human FOXRED2 |
| Formulation | pH7.4 PBS, 0.05% NaN3, 40% Glycerol |
| Application | |
|---|---|
| WB | 1/200-1/1000 |
| IHC | 1/30-1/150 |
| ELISA | 1/2000-1/5000 |
![]() |
Gel: 8%SDS-PAGE, Lysate: 40 μg, Lane 1-4: 231, A549, LNCAP and HT-29 cell lysates, Primary antibody: P02786(FOXRED2 Antibody) at dilution 1/250, Secondary antibody: Goat anti rabbit IgG at 1/8000 dilution, Exposure time: 40 seconds |
![]() |
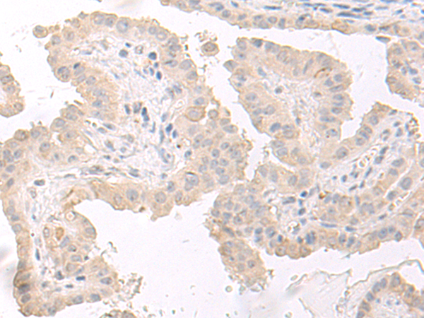
The image is immunohistochemistry of paraffin-embedded Human thyroid cancer tissue using P02786(FOXRED2 Antibody) at dilution 1/45. (Original magnification: ×200) |
本公司的所有产品仅用于科学研究或者工业应用等非医疗目的,不可用于人类或动物的临床诊断或治疗,非药用,非食用。
暂无评论
本公司的所有产品仅用于科学研究或者工业应用等非医疗目的,不可用于人类或动物的临床诊断或治疗,非药用,非食用。
中文


发表回复