别名:CX3CR1; CMKBRL1; GPR13; CX3C chemokine receptor 1; C-X3-C CKR-1; CX3CR1; Beta chemokine receptor-like 1; CMK-BRL-1; CMK-BRL1; Fractalkine receptor; G-protein coupled receptor 13; V28应用:WB,IHC
反应种属:Human,Mouse,Rat
规格:50μl/100μl
| Description |
|---|
| Receptor for the C-X3-C chemokine fractalkine (CX3CL1) present on many early leukocyte cells; CX3CR1-CX3CL1 signaling exerts distinct functions in different tissue compartments, such as immune response, inflammation, cell adhesion and chemotaxis. |
| Specification | |
|---|---|
| Aliases | CX3CR1; CMKBRL1; GPR13; CX3C chemokine receptor 1; C-X3-C CKR-1; CX3CR1; Beta chemokine receptor-like 1; CMK-BRL-1; CMK-BRL1; Fractalkine receptor; G-protein coupled receptor 13; V28 |
| Entrez GeneID | 1524 |
| Swissprot | P49238 |
| WB Predicted band size | Calculated MW: 40 kDa; Observed MW: 40 kDa |
| Host/Isotype | Rabbit IgG |
| Storage | Store at 4°C short term. Aliquot and store at -20°C long term. Avoid freeze/thaw cycles. |
| Species Reactivity | Human,Mouse,Rat |
| Immunogen | Synthesized peptide derived from Fractalkine Receptor . at AA range: 120-200 |
| Formulation | Liquid in PBS containing 50% glycerol, 0.5% BSA and 0.02% sodium azide, pH 7.3. |
| Application | |
|---|---|
| WB | 1/500-1/1000 |
| IHC | 1/50-1/100 |
| ELISA | 1/10000 |
![]() |
Western blot analysis of Fractalkine Receptor in U87 lysates using Fractalkine Receptor antibody. |
![]() |
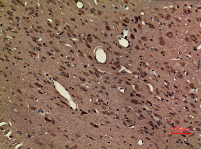
Immunohistochemistry analysis of paraffin-embedded rat brain using Fractalkine Receptor antibody.High-pressure and temperature Sodium Citrate pH 6.0 was used for antigen retrieval. |
![]() |
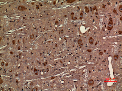
Immunohistochemistry analysis of paraffin-embedded rat brain using Fractalkine Receptor antibody. High-pressure and temperature Sodium Citrate pH 6.0 was used for antigen retrieval. |
![]() |
Immunohistochemistry analysis of paraffin-embedded rat brain using Fractalkine Receptor antibody.High-pressure and temperature Sodium Citrate pH 6.0 was used for antigen retrieval. |
本公司的所有产品仅用于科学研究或者工业应用等非医疗目的,不可用于人类或动物的临床诊断或治疗,非药用,非食用。
暂无评论
本公司的所有产品仅用于科学研究或者工业应用等非医疗目的,不可用于人类或动物的临床诊断或治疗,非药用,非食用。
中文




发表回复