别名:FSG1; FRG1A应用:IHC
反应种属:Human, Mouse
规格:50μl/100μl
| Description |
|---|
| This gene maps to a location 100 kb centromeric of the repeat units on chromosome 4q35 which are deleted in facioscapulohumeral muscular dystrophy (FSHD). It is evolutionarily conserved and has related sequences on multiple human chromosomes but DNA sequence analysis did not reveal any homology to known genes. In vivo studies demonstrate the encoded protein is localized to the nucleolus. [provided by RefSeq, Jul 2008] |
| Specification | |
|---|---|
| Aliases | FSG1; FRG1A |
| Swissprot | Q14331 |
| Host/Isotype | Rabbit IgG |
| Storage | Store at 4°C short term. Aliquot and store at -20°C long term. Avoid freeze/thaw cycles. |
| Species Reactivity | Human, Mouse |
| Immunogen | Fusion protein of human FRG1 |
| Formulation | pH7.4 PBS, 0.05% NaN3, 40% Glycerol |
| Application | |
|---|---|
| IHC | 1/100-1/300 |
| ELISA | 1/5000-1/10000 |
![]() |
The image is immunohistochemistry of paraffin-embedded Human tonsil tissue using P03479(FRG1 Antibody) at dilution 1/120. (Original magnification: ×200) |
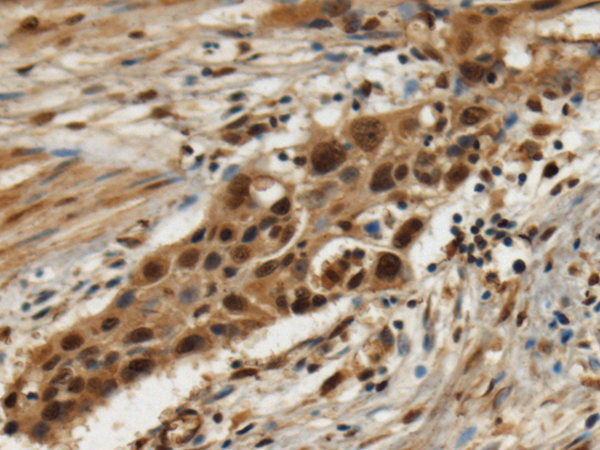
![]() |
The image is immunohistochemistry of paraffin-embedded Human esophagus cancer tissue using P03479(FRG1 Antibody) at dilution 1/120. (Original magnification: ×200) |
本公司的所有产品仅用于科学研究或者工业应用等非医疗目的,不可用于人类或动物的临床诊断或治疗,非药用,非食用。
暂无评论
本公司的所有产品仅用于科学研究或者工业应用等非医疗目的,不可用于人类或动物的临床诊断或治疗,非药用,非食用。
中文


发表回复