别名:Follistatin-related protein 3, Follistatin-like protein 3, Follistatin-related gene protein, FSTL3, FLRG应用:WB,IHC
反应种属:Human
规格:50μl/100μl
| Description |
|---|
| Follistatin-like 3 is a secreted glycoprotein of the follistatin-module-protein family. It may have a role in leukemogenesis. |
| Specification | |
|---|---|
| Aliases | Follistatin-related protein 3, Follistatin-like protein 3, Follistatin-related gene protein, FSTL3, FLRG |
| Entrez GeneID | 10272 |
| Swissprot | O95633 |
| WB Predicted band size | 27.7kDa |
| Host/Isotype | Rabbit IgG |
| Storage | Store at 4°C short term. Aliquot and store at -20°C long term. Avoid freeze/thaw cycles. |
| Species Reactivity | Human |
| Immunogen | This FSTL3 antibody is generated from rabbits immunized with a KLH conjugated synthetic peptide between 229-258 amino acids from the C-terminal region of human FSTL3. |
| Formulation | Purified polyclonal antibody supplied in PBS with 0.05% sodium azide. This antibody is purified through a protein A column, followed by peptide affinity purification. |
| Application | |
|---|---|
| WB | 1/1000 |
| IHC | 1/100-1/500 |
![]() |
Anti-FSTL3 Antibody (C-term) at 1:1000 dilution + A431 whole cell lysate
Lysates/proteins at 20 µg per lane. Secondary Predicted band size : 28 kDa Blocking/Dilution buffer: 5% NFDM/TBST. |
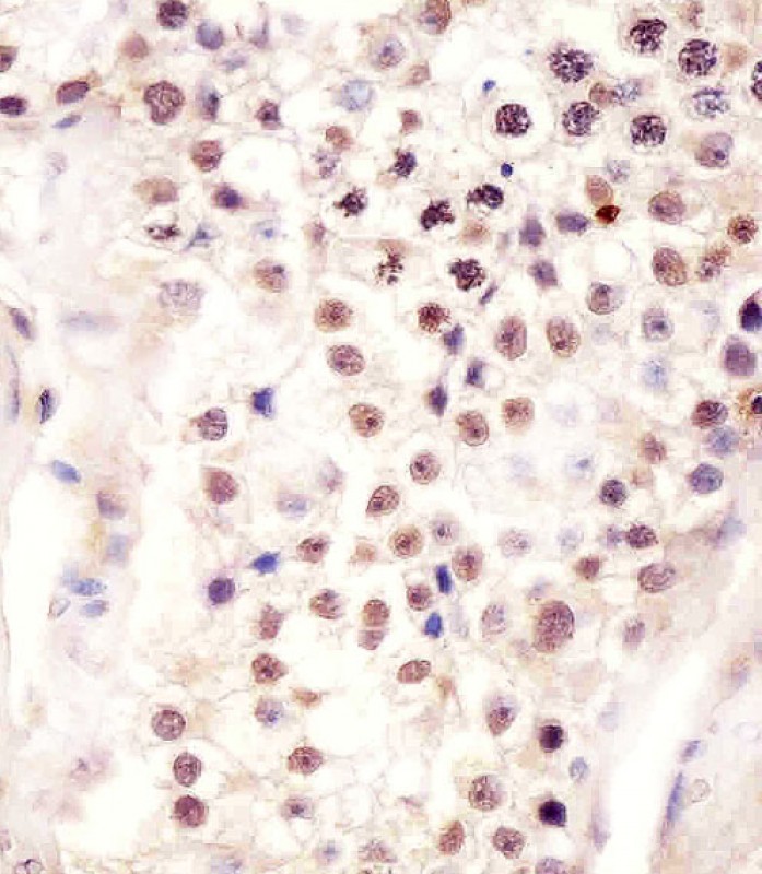
![]() |
P33389 staining FSTL3 in human testis tissue sections by Immunohistochemistry (IHC-P – paraformaldehyde-fixed, paraffin-embedded sections). Tissue was fixed with formaldehyde and blocked with 3% BSA for 0. 5 hour at room temperature; antigen retrieval was by heat mediation with a citrate buffer (pH6). Samples were incubated with primary antibody (1/25) for 1 hours at 37°C. A undiluted biotinylated goat polyvalent antibody was used as the secondary antibody. |
本公司的所有产品仅用于科学研究或者工业应用等非医疗目的,不可用于人类或动物的临床诊断或治疗,非药用,非食用。
暂无评论
本公司的所有产品仅用于科学研究或者工业应用等非医疗目的,不可用于人类或动物的临床诊断或治疗,非药用,非食用。
中文


发表回复