别名:Frataxin, mitochondrial, Friedreich ataxia protein, Fxn, Frataxin intermediate form, i-FXN, Frataxin(56-210), m56-FXN, Frataxin(78-210), d-FXN, m78-FXN, Frataxin mature form, Frataxin(81-210), m81-FXN, FXN, FRDA, X25应用:WB,IHC
反应种属:Human
规格:50μl/100μl
| Description |
|---|
| FXN is a mitochondrial protein which belongs to the FRATAXIN family. The protein functions in regulating mitochondrial iron transport and respiration. The expansion of intronic trinucleotide repeat GAA results in Friedreich ataxia. |
| Specification | |
|---|---|
| Aliases | Frataxin, mitochondrial, Friedreich ataxia protein, Fxn, Frataxin intermediate form, i-FXN, Frataxin(56-210), m56-FXN, Frataxin(78-210), d-FXN, m78-FXN, Frataxin mature form, Frataxin(81-210), m81-FXN, FXN, FRDA, X25 |
| Entrez GeneID | 2395 |
| Swissprot | Q16595 |
| WB Predicted band size | 23.1kDa |
| Host/Isotype | Rabbit IgG |
| Storage | Store at 4°C short term. Aliquot and store at -20°C long term. Avoid freeze/thaw cycles. |
| Species Reactivity | Human |
| Immunogen | This FXN antibody is generated from rabbits immunized with a KLH conjugated synthetic peptide between 143-172 amino acids from the C-terminal region of human FXN. |
| Formulation | Purified polyclonal antibody supplied in PBS with 0.05% sodium azide. This antibody is purified through a protein A column, eluted with high and low pH buffers and neutralized immediately, followed by dialysis against PBS. |
| Application | |
|---|---|
| WB | 1/1000 |
| IHC | 1/100-1/500 |
![]() |
Western blot analysis of anti-FXN Antibody (C-term) (Cat#P30194) in 293 cell line lysates (35ug/lane). FXN (arrow) was detected using the purified Pab. |
![]() |
Western blot analysis of FXN (arrow) using rabbit polyclonal FXN Antibody (C-term) (RB12571). 293 cell lysates (2 ug/lane) either nontransfected (Lane 1) or transiently transfected with the FXN gene (Lane 2) (Origene Technologies). |
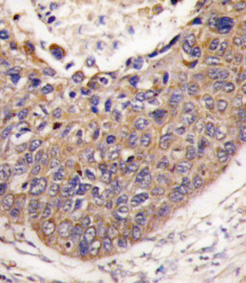
![]() |
Formalin-fixed and paraffin-embedded human lung carcinoma tissue reacted with FXN antibody (C-term) (Cat.#P30194), which was peroxidase-conjugated to the secondary antibody, followed by DAB staining. This data demonstrates the use of this antibody for immunohistochemistry; clinical relevance has not been evaluated. |
本公司的所有产品仅用于科学研究或者工业应用等非医疗目的,不可用于人类或动物的临床诊断或治疗,非药用,非食用。
暂无评论
本公司的所有产品仅用于科学研究或者工业应用等非医疗目的,不可用于人类或动物的临床诊断或治疗,非药用,非食用。
中文



发表回复