别名:应用:WB,IHC
反应种属:Human, Mouse, Rat
规格:50μl/100μl
| Description |
|---|
| This gene encodes a member of the FXYD family of transmembrane proteins. This particular protein encodes phosphohippolin, which likely affects the activity of Na,K-ATPase. Multiple alternatively spliced transcript variants encoding the same protein have been described. Related pseudogenes have been identified on chromosomes 10 and X. Read-through transcripts have been observed between this locus and the downstream sodium/potassium-transporting ATPase subunit gamma (FXYD2, GeneID 486) locus. |
| Specification | |
|---|---|
| Swissprot | Q9H0Q3 |
| WB Predicted band size | 11 kDa |
| Host/Isotype | Rabbit IgG |
| Storage | Store at 4°C short term. Aliquot and store at -20°C long term. Avoid freeze/thaw cycles. |
| Species Reactivity | Human, Mouse, Rat |
| Immunogen | Fusion protein of human FXYD6 |
| Formulation | pH7.4 PBS, 0.05% NaN3, 40% Glycerol |
| Application | |
|---|---|
| WB | 1/500-1/2000 |
| IHC | 1/50-1/300 |
| ELISA | 1/5000-1/10000 |
![]() |
Gel: 12%SDS-PAGE, Lysate: 40 μg, Lane 1-3: Human cerebrum tissue, Mouse brain tissue, Human cerebella tissue lysates, Primary antibody: P02804(FXYD6 Antibody) at dilution 1/500, Secondary antibody: Goat anti rabbit IgG at 1/5000 dilution, Exposure time: 10 seconds |
![]() |
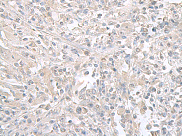
The image is immunohistochemistry of paraffin-embedded Human liver cancer tissue using P02804(FXYD6 Antibody) at dilution 1/65. (Original magnification: ×200) |
本公司的所有产品仅用于科学研究或者工业应用等非医疗目的,不可用于人类或动物的临床诊断或治疗,非药用,非食用。
暂无评论
本公司的所有产品仅用于科学研究或者工业应用等非医疗目的,不可用于人类或动物的临床诊断或治疗,非药用,非食用。
中文


发表回复