别名:CATC2; RUFY3; ZFYVE7; CTRCT18应用:IHC
反应种属:Human
规格:50μl/100μl
| Description |
|---|
| This gene encodes a protein that contains a RUN domain, FYVE-type zinc finger domain and Golgi dynamics (GOLD) domain. The encoded protein plays a role in microtubule plus end-directed transport of autophagic vesicles through interactions with the small GTPase Rab7, phosphatidylinositol-3-phosphate (PI3P) and the autophagosome marker LC3. Mutations in this gene are a cause of autosomal recessive congenital cataract-2 (CATC2). |
| Specification | |
|---|---|
| Aliases | CATC2; RUFY3; ZFYVE7; CTRCT18 |
| Swissprot | Q9BQS8 |
| Host/Isotype | Rabbit IgG |
| Storage | Store at 4°C short term. Aliquot and store at -20°C long term. Avoid freeze/thaw cycles. |
| Species Reactivity | Human |
| Immunogen | Fusion protein of human FYCO1 |
| Formulation | pH7.4 PBS, 0.05% NaN3, 40% Glycerol |
| Application | |
|---|---|
| IHC | 1/50-1/200 |
| ELISA | 1/5000-1/10000 |
![]() |
The image is immunohistochemistry of paraffin-embedded Human liver cancer tissue using P03339(FYCO1 Antibody) at dilution 1/60. (Original magnification: ×200) |
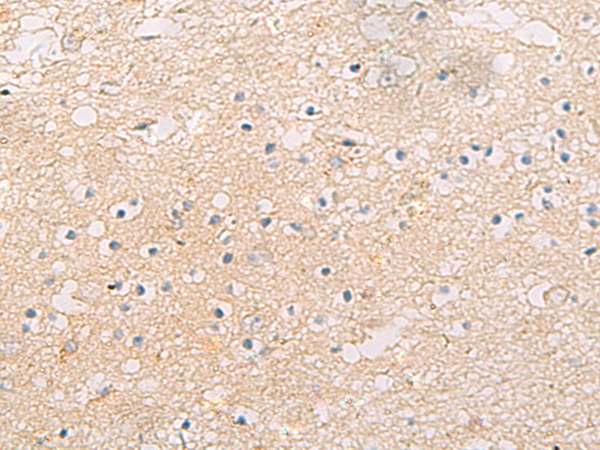
![]() |
The image is immunohistochemistry of paraffin-embedded Human brain tissue using P03339(FYCO1 Antibody) at dilution 1/60. (Original magnification: ×200) |
本公司的所有产品仅用于科学研究或者工业应用等非医疗目的,不可用于人类或动物的临床诊断或治疗,非药用,非食用。
暂无评论
本公司的所有产品仅用于科学研究或者工业应用等非医疗目的,不可用于人类或动物的临床诊断或治疗,非药用,非食用。
中文


发表回复