别名:FZR; CDH1; FZR2; HCDH; HCDH1; CDC20C应用:WB,IHC
反应种属:Human
规格:50μl/100μl
| Description |
|---|
| Key regulator of ligase activity of the anaphase promoting complex/cyclosome (APC/C), which confers substrate specificity upon the complex. Associates with the APC/C in late mitosis, in replacement of CDC20, and activates the APC/C during anaphase and telophase. The APC/C remains active in degrading substrates to ensure that positive regulators of the cell cycle do not accumulate prematurely. At the G1/S transition FZR1 is phosphorylated, leading to its dissociation from the APC/C. |
| Specification | |
|---|---|
| Aliases | FZR; CDH1; FZR2; HCDH; HCDH1; CDC20C |
| Entrez GeneID | 51343; |
| Swissprot | Q9UM11 |
| WB Predicted band size | 55kDa |
| Storage | Store at 4°C short term. Aliquot and store at -20°C long term. Avoid freeze/thaw cycles. |
| Species Reactivity | Human |
| Immunogen | Fusion protein of human FZR1 |
| Formulation | Rabbit IgG in pH7.4 PBS, 0.05% NaN3, 40% Glycerol. |
| Application | |
|---|---|
| WB | 1/500-1/2000 |
| IHC | 1/25-1/100 |
![]() |
Gel: 8%SDS-PAGE Lysate: 40 μg Lane: Human placenta tissue Primary antibody: 1/400 dilution Secondary antibody: Goat anti rabbit IgG at 1/8000 dilution Exposure time: 3 minutes |
![]() |
Immunohistochemical analysis of paraffin-embedded Human breast cancer tissue using P43418 at dilution 1/20. |
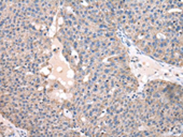
![]() |
Immunohistochemical analysis of paraffin-embedded Human esophagus cancer tissue using P43418 at dilution 1/20. |
本公司的所有产品仅用于科学研究或者工业应用等非医疗目的,不可用于人类或动物的临床诊断或治疗,非药用,非食用。
暂无评论
本公司的所有产品仅用于科学研究或者工业应用等非医疗目的,不可用于人类或动物的临床诊断或治疗,非药用,非食用。
中文



发表回复