别名:应用:IHC
反应种属:Human, Mouse, Rat
规格:50μl/100μl
| Description |
|---|
| The gamma-aminobutyric acid (GABA) A receptor is a multisubunit chloride channel that mediates the fastest inhibitory synaptic transmission in the central nervous system. This gene encodes GABA A receptor, beta 1 subunit. It is mapped to chromosome 4p12 in a cluster comprised of genes encoding alpha 4, alpha 2 and gamma 1 subunits of the GABA A receptor. Alteration of this gene is implicated in the pathogenetics of schizophrenia. |
| Specification | |
|---|---|
| Swissprot | P18505 |
| Host/Isotype | Rabbit IgG |
| Storage | Store at 4°C short term. Aliquot and store at -20°C long term. Avoid freeze/thaw cycles. |
| Species Reactivity | Human, Mouse, Rat |
| Immunogen | Synthetic peptide of human GABRB1 |
| Formulation | pH7.4 PBS, 0.05% NaN3, 40% Glycerol |
| Application | |
|---|---|
| IHC | 1/10-1/50 |
| ELISA | 1/5000-1/10000 |
![]() |
The image is immunohistochemistry of paraffin-embedded Human esophagus cancer tissue using P12574(GABRB1 Antibody) at dilution 1/25. (Original magnification: ×200) |
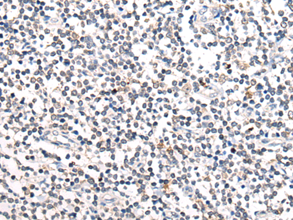
![]() |
The image is immunohistochemistry of paraffin-embedded Human tonsil tissue using P12574(GABRB1 Antibody) at dilution 1/25. (Original magnification: ×200) |
本公司的所有产品仅用于科学研究或者工业应用等非医疗目的,不可用于人类或动物的临床诊断或治疗,非药用,非食用。
暂无评论
本公司的所有产品仅用于科学研究或者工业应用等非医疗目的,不可用于人类或动物的临床诊断或治疗,非药用,非食用。
中文


发表回复