别名:Glutamate decarboxylase 2, 65 kDa glutamic acid decarboxylase, GAD-65, Glutamate decarboxylase 65 kDa isoform, GAD2, GAD65应用:WB,IHC,ICC
反应种属:Human, Mouse, Rat
规格:50μl/100μl
| Description |
|---|
| This gene encodes one of several forms of glutamic acid decarboxylase, identified as a major autoantigen in insulin-dependent diabetes. The enzyme encoded is responsible for catalyzing the production of gamma-aminobutyric acid from L-glutamic acid. A pathogenic role for this enzyme has been identified in the human pancreas since it has been identified as an autoantibody and an autoreactive T cell target in insulin-dependent diabetes. This gene may also play a role in the stiff man syndrome. Alternative splicing results in multiple transcript variants that encode the same protein. |
| Specification | |
|---|---|
| Aliases | Glutamate decarboxylase 2, 65 kDa glutamic acid decarboxylase, GAD-65, Glutamate decarboxylase 65 kDa isoform, GAD2, GAD65 |
| Entrez GeneID | 2572 |
| Swissprot | Q05329 |
| WB Predicted band size | 65.4kDa |
| Host/Isotype | Rabbit IgG |
| Storage | Store at 4°C short term. Aliquot and store at -20°C long term. Avoid freeze/thaw cycles. |
| Species Reactivity | Human, Mouse, Rat |
| Immunogen | This GAD2 antibody is generated from rabbits immunized with a KLH conjugated synthetic peptide between 109-138 amino acids from the Central region of human GAD2. |
| Formulation | Purified polyclonal antibody supplied in PBS with 0.05% sodium azide. This antibody is purified through a protein A column, followed by peptide affinity purification. |
| Application | |
|---|---|
| WB | 1/1000 |
| IHC | 1/100-1/500 |
| ICC | 1/10-1/50 |
![]() |
Western blot analysis of lysate from rat brain tissue lysate, using GAD2 Antibody (Center)(Cat. #P32654). P32654 was diluted at 1:1000. A goat anti-rabbit IgG H&L(HRP) at 1:5000 dilution was used as the secondary antibody. Lysate at 35ug. |
![]() |
GAD2 Antibody (Center) (Cat. #P32654) western blot analysis in Jurkat cell line lysates (35ug/lane).This demonstrates the GAD2 antibody detected the GAD2 protein (arrow). |
![]() |
Confocal immunofluorescent analysis of GAD2 Antibody (Center)(Cat. #AP11118c) with 293 cell followed by Alexa Fluor® 488-conjugated goat anti-rabbit lgG (green). DAPI was used to stain the cell nuclear (blue). |
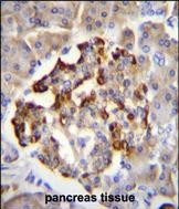
![]() |
GAD2 Antibody (Center) (Cat. #P32654)immunohistochemistry analysis in formalin fixed and paraffin embedded human pancreas tissue followed by peroxidase conjugation of the secondary antibody and DAB staining.This data demonstrates the use of GAD2 Antibody (Center) for immunohistochemistry. Clinical relevance has not been evaluated. |
本公司的所有产品仅用于科学研究或者工业应用等非医疗目的,不可用于人类或动物的临床诊断或治疗,非药用,非食用。
暂无评论
本公司的所有产品仅用于科学研究或者工业应用等非医疗目的,不可用于人类或动物的临床诊断或治疗,非药用,非食用。
中文




发表回复