别名:G antigen 12B/C/D/E, GAGE-12B, GAGE-12C, GAGE-12D, GAGE-12E, GAGE12B应用:WB,IHC
反应种属:Human
规格:50μl/100μl
| Specification | |
|---|---|
| Aliases | G antigen 12B/C/D/E, GAGE-12B, GAGE-12C, GAGE-12D, GAGE-12E, GAGE12B |
| Entrez GeneID | 100132399;729422;729428;729431 |
| Swissprot | A1L429 |
| WB Predicted band size | 12.9kDa |
| Host/Isotype | Rabbit IgG |
| Storage | Store at 4°C short term. Aliquot and store at -20°C long term. Avoid freeze/thaw cycles. |
| Species Reactivity | Human |
| Immunogen | This GAGE12B antibody is generated from rabbits immunized with a KLH conjugated synthetic peptide between 21-49 amino acids from the N-terminal region of human GAGE12B. |
| Formulation | Purified polyclonal antibody supplied in PBS with 0.05% sodium azide. This antibody is purified through a protein A column, followed by peptide affinity purification. |
| Application | |
|---|---|
| WB | 1/1000 |
| IHC | 1/100-1/500 |
![]() |
GAGE12B Antibody (N-term) (Cat. #P30938) western blot analysis in T47D cell line lysates (35ug/lane).This demonstrates the GAGE12B antibody detected the GAGE12B protein (arrow). |
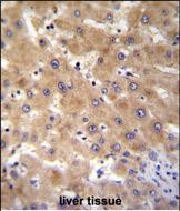
![]() |
GAGE12B Antibody (N-term) (Cat. #P30938)immunohistochemistry analysis in formalin fixed and paraffin embedded human liver tissue followed by peroxidase conjugation of the secondary antibody and DAB staining.This data demonstrates the use of GAGE12B Antibody (N-term) for immunohistochemistry. Clinical relevance has not been evaluated. |
本公司的所有产品仅用于科学研究或者工业应用等非医疗目的,不可用于人类或动物的临床诊断或治疗,非药用,非食用。
暂无评论
本公司的所有产品仅用于科学研究或者工业应用等非医疗目的,不可用于人类或动物的临床诊断或治疗,非药用,非食用。
中文


发表回复