别名:GALN; GLNN; GMAP; GAL-GMAP应用:IHC
反应种属:Human
规格:50μl/100μl
| Description |
|---|
| This gene encodes a neuroendocrine peptide that is widely expressed in the central and peripheral nervous systems and also the gastrointestinal tract, pancreas, adrenal gland and urogenital tract. The encoded protein is a precursor that is proteolytically processed to generate two mature peptides: galanin and galanin message-associated peptide (GMAP). Galanin has diverse physiological functions including nociception, feeding and energy homeostasis, osmotic regulation and water balance. GMAP has been demonstrated to possess antifungal activity and hypothesized to be part of the innate immune system. |
| Specification | |
|---|---|
| Aliases | GALN; GLNN; GMAP; GAL-GMAP |
| Swissprot | P22466 |
| Host/Isotype | Rabbit IgG |
| Storage | Store at 4°C short term. Aliquot and store at -20°C long term. Avoid freeze/thaw cycles. |
| Species Reactivity | Human |
| Immunogen | Synthetic peptide of human GAL |
| Formulation | pH7.4 PBS, 0.05% NaN3, 40% Glycerol |
| Application | |
|---|---|
| IHC | 1/25-1/100 |
| ELISA | 1/5000-1/10000 |
![]() |
The image is immunohistochemistry of paraffin-embedded Human cervical cancer tissue using P12641(GAL Antibody) at dilution 1/20. (Original magnification: ×200) |
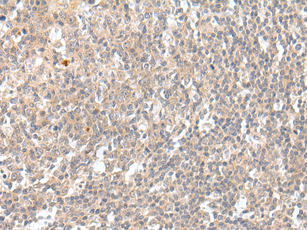
![]() |
The image is immunohistochemistry of paraffin-embedded Human tonsil tissue using P12641(GAL Antibody) at dilution 1/20. (Original magnification: ×200) |
本公司的所有产品仅用于科学研究或者工业应用等非医疗目的,不可用于人类或动物的临床诊断或治疗,非药用,非食用。
暂无评论
本公司的所有产品仅用于科学研究或者工业应用等非医疗目的,不可用于人类或动物的临床诊断或治疗,非药用,非食用。
中文


发表回复