别名:GAL2-R; GALNR2; GALR-2应用:IHC
反应种属:Human, Mouse, Rat
规格:50μl/100μl
| Description |
|---|
| Galanin is an important neuromodulator present in the brain, gastrointestinal system, and hypothalamopituitary axis. It is a 30-amino acid non-C-terminally amidated peptide that potently stimulates growth hormone secretion, inhibits cardiac vagal slowing of heart rate, abolishes sinus arrhythmia, and inhibits postprandial gastrointestinal motility. The actions of galanin are mediated through interaction with specific membrane receptors that are members of the 7-transmembrane family of G protein-coupled receptors. GALR2 interacts with the N-terminal residues of the galanin peptide. The primary signaling mechanism for GALR2 is through the phospholipase C/protein kinase C pathway (via Gq), in contrast to GALR1, which communicates its intracellular signal by inhibition of adenylyl cyclase through Gi. However, it has been demonstrated that GALR2 couples efficiently to both the Gq and Gi proteins to simultaneously activate 2 independent signal transduction pathways. |
| Specification | |
|---|---|
| Aliases | GAL2-R; GALNR2; GALR-2 |
| Swissprot | O43603 |
| Host/Isotype | Rabbit IgG |
| Storage | Store at 4°C short term. Aliquot and store at -20°C long term. Avoid freeze/thaw cycles. |
| Species Reactivity | Human, Mouse, Rat |
| Immunogen | Synthetic peptide of human GALR2 |
| Formulation | pH7.4 PBS, 0.05% NaN3, 40% Glycerol |
| Application | |
|---|---|
| IHC | 1/30-1/150 |
| ELISA | 1/5000-1/10000 |
![]() |
The image is immunohistochemistry of paraffin-embedded Human cervical cancer tissue using P13442(GALR2 Antibody) at dilution 1/25. (Original magnification: ×200) |
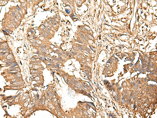
![]() |
The image is immunohistochemistry of paraffin-embedded Human colorectal cancer tissue using P13442(GALR2 Antibody) at dilution 1/25. (Original magnification: ×200) |
本公司的所有产品仅用于科学研究或者工业应用等非医疗目的,不可用于人类或动物的临床诊断或治疗,非药用,非食用。
暂无评论
本公司的所有产品仅用于科学研究或者工业应用等非医疗目的,不可用于人类或动物的临床诊断或治疗,非药用,非食用。
中文


发表回复