别名:应用:WB,IHC
反应种属:Human, Mouse
规格:50μl/100μl
| Description |
|---|
| Glycosyl hydrolase enzymes hydrolyse the glycosidic bond between two or more carbohydrates, or between a carbohydrate and a non-carbohydrate moiety. This gene encodes a member of glycosyl hydrolases family 31. This enzyme hydrolyses terminal, non-reducing 1,4-linked alpha-D-glucose residues and releases alpha-D-glucose. This is a key enzyme in glycogen metabolism and its gene localizes to a chromosomal region (15q15) that is associated with susceptibility to diabetes. Alternative splicing results in multiple transcript variants encoding different isoforms. |
| Specification | |
|---|---|
| Swissprot | Q8TET4 |
| WB Predicted band size | 104 kDa |
| Host/Isotype | Rabbit IgG |
| Storage | Store at 4°C short term. Aliquot and store at -20°C long term. Avoid freeze/thaw cycles. |
| Species Reactivity | Human, Mouse |
| Immunogen | Synthetic peptide of human GANC |
| Formulation | pH7.4 PBS, 0.05% NaN3, 40% Glycerol |
| Application | |
|---|---|
| WB | 1/500-1/2000 |
| IHC | 1/50-1/300 |
| ELISA | 1/5000-1/10000 |
![]() |
Gel: 6%SDS-PAGE, Lysate: 40 μg, Lane: TM4 cell lysate, Primary antibody: P13444(GANC Antibody) at dilution 1/550, Secondary antibody: Goat anti rabbit IgG at 1/8000 dilution, Exposure time: 20 seconds |
![]() |
The image is immunohistochemistry of paraffin-embedded Human thyroid cancer tissue using P13444(GANC Antibody) at dilution 1/55. (Original magnification: ×200) |
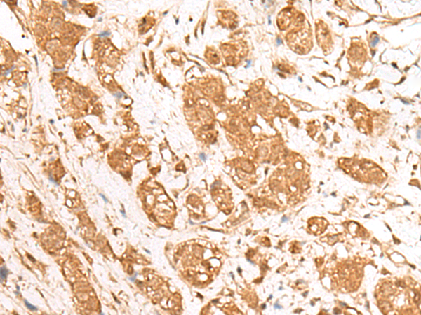
![]() |
The image is immunohistochemistry of paraffin-embedded Human breast cancer tissue using P13444(GANC Antibody) at dilution 1/55. (Original magnification: ×200) |
本公司的所有产品仅用于科学研究或者工业应用等非医疗目的,不可用于人类或动物的临床诊断或治疗,非药用,非食用。
暂无评论
本公司的所有产品仅用于科学研究或者工业应用等非医疗目的,不可用于人类或动物的临床诊断或治疗,非药用,非食用。
中文



发表回复