别名:GAPD2; GAPDS; HSD-35; GAPDH-2; HEL-S-278应用:WB,IHC
反应种属:Human
规格:50μl/100μl
| Description |
|---|
| This gene encodes a protein belonging to the glyceraldehyde-3-phosphate dehydrogenase family of enzymes that play an important role in carbohydrate metabolism. Like its somatic cell counterpart, this sperm-specific enzyme functions in a nicotinamide adenine dinucleotide-dependent manner to remove hydrogen and add phosphate to glyceraldehyde 3-phosphate to form 1,3-diphosphoglycerate. During spermiogenesis, this enzyme may play an important role in regulating the switch between different energy-producing pathways, and it is required for sperm motility and male fertility. |
| Specification | |
|---|---|
| Aliases | GAPD2; GAPDS; HSD-35; GAPDH-2; HEL-S-278 |
| Swissprot | O14556 |
| WB Predicted band size | 45 kDa |
| Host/Isotype | Rabbit IgG |
| Storage | Store at 4°C short term. Aliquot and store at -20°C long term. Avoid freeze/thaw cycles. |
| Species Reactivity | Human |
| Immunogen | Synthetic peptide of human GAPDHS |
| Formulation | pH7.4 PBS, 0.05% NaN3, 40% Glycerol |
| Application | |
|---|---|
| WB | 1/200-1/1000 |
| IHC | 1/50-1/100 |
| ELISA | 1/5000-1/10000 |
![]() |
Gel: 8%SDS-PAGE, Lysate: 40 μg, Lane: A549 cell lysate, Primary antibody: P04645(GAPDHS Antibody) at dilution 1/400, Secondary antibody: Goat anti rabbit IgG at 1/5000 dilution, Exposure time: 2 minutes |
![]() |
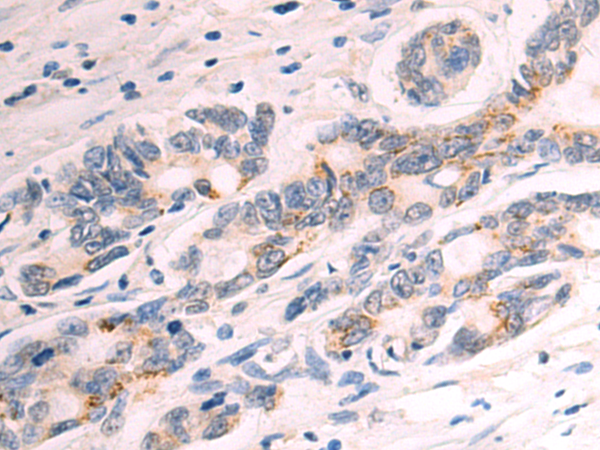
The image is immunohistochemistry of paraffin-embedded Human colorectal cancer tissue using P04645(GAPDHS Antibody) at dilution 1/50. (Original magnification: ×200) |
本公司的所有产品仅用于科学研究或者工业应用等非医疗目的,不可用于人类或动物的临床诊断或治疗,非药用,非食用。
暂无评论
本公司的所有产品仅用于科学研究或者工业应用等非医疗目的,不可用于人类或动物的临床诊断或治疗,非药用,非食用。
中文


发表回复