别名:GAS11应用:IHC
反应种属:Human, Mouse, Rat
规格:50μl/100μl
| Description |
|---|
| This gene includes 11 exons spanning 25 kb and maps to a region of chromosome 16 that is sometimes deleted in breast and prostrate cancer. The second intron contains an apparently intronless gene, C16orf3, that is transcribed in the opposite orientation. This gene is a putative tumor suppressor gene. Several transcript variants encoding different isoforms have been found for this gene. |
| Specification | |
|---|---|
| Aliases | GAS11 |
| Swissprot | O95995 |
| Host/Isotype | Rabbit IgG |
| Storage | Store at 4°C short term. Aliquot and store at -20°C long term. Avoid freeze/thaw cycles. |
| Species Reactivity | Human, Mouse, Rat |
| Immunogen | Synthetic peptide of human GAS8 |
| Formulation | pH7.4 PBS, 0.05% NaN3, 40% Glycerol |
| Application | |
|---|---|
| IHC | 1/25-1/100 |
| ELISA | 1/1000-1/2000 |
![]() |
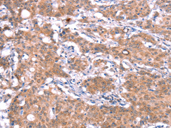
The image is immunohistochemistry of paraffin-embedded Human thyroid cancer tissue using P11781(GAS8 Antibody) at dilution 1/30. (Original magnification: ×200) |
![]() |
The image is immunohistochemistry of paraffin-embedded Human gastric cancer tissue using P11781(GAS8 Antibody) at dilution 1/30. (Original magnification: ×200) |
本公司的所有产品仅用于科学研究或者工业应用等非医疗目的,不可用于人类或动物的临床诊断或治疗,非药用,非食用。
暂无评论
本公司的所有产品仅用于科学研究或者工业应用等非医疗目的,不可用于人类或动物的临床诊断或治疗,非药用,非食用。
中文


发表回复