别名:GBE; APBD; GSD4应用:IHC
反应种属:Human, Mouse
规格:50μl/100μl
| Description |
|---|
| The protein encoded by this gene is a glycogen branching enzyme that catalyzes the transfer of alpha-1,4-linked glucosyl units from the outer end of a glycogen chain to an alpha-1,6 position on the same or a neighboring glycogen chain. Branching of the chains is essential to increase the solubility of the glycogen molecule and, consequently, in reducing the osmotic pressure within cells. Highest level of this enzyme are found in liver and muscle. Mutations in this gene are associated with glycogen storage disease IV (also known as Andersen’s disease). |
| Specification | |
|---|---|
| Aliases | GBE; APBD; GSD4 |
| Swissprot | Q04446 |
| Host/Isotype | Rabbit IgG |
| Storage | Store at 4°C short term. Aliquot and store at -20°C long term. Avoid freeze/thaw cycles. |
| Species Reactivity | Human, Mouse |
| Immunogen | Fusion protein of human GBE1 |
| Formulation | pH7.4 PBS, 0.05% NaN3, 40% Glycerol |
| Application | |
|---|---|
| IHC | 1/50-1/200 |
| ELISA | 1/5000-1/10000 |
![]() |
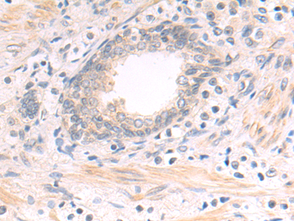
The image is immunohistochemistry of paraffin-embedded Human colorectal cancer tissue using P03451(GBE1 Antibody) at dilution 1/90. (Original magnification: ×200) |
![]() |
The image is immunohistochemistry of paraffin-embedded Human prostate cancer tissue using P03451(GBE1 Antibody) at dilution 1/90. (Original magnification: ×200) |
本公司的所有产品仅用于科学研究或者工业应用等非医疗目的,不可用于人类或动物的临床诊断或治疗,非药用,非食用。
暂无评论
本公司的所有产品仅用于科学研究或者工业应用等非医疗目的,不可用于人类或动物的临床诊断或治疗,非药用,非食用。
中文


发表回复