别名:GLP1; GLP2; GRPP应用:IHC
反应种属:Human, Mouse, Rat
规格:50μl/100μl
| Description |
|---|
| The protein encoded by this gene is actually a preproprotein that is cleaved into four distinct mature peptides. One of these, glucagon, is a pancreatic hormone that counteracts the glucose-lowering action of insulin by stimulating glycogenolysis and gluconeogenesis. Glucagon is a ligand for a specific G-protein linked receptor whose signalling pathway controls cell proliferation. Two of the other peptides are secreted from gut endocrine cells and promote nutrient absorption through distinct mechanisms. Finally, the fourth peptide is similar to glicentin, an active enteroglucagon. |
| Specification | |
|---|---|
| Aliases | GLP1; GLP2; GRPP |
| Swissprot | P01275 |
| Host/Isotype | Rabbit IgG |
| Storage | Store at 4°C short term. Aliquot and store at -20°C long term. Avoid freeze/thaw cycles. |
| Species Reactivity | Human, Mouse, Rat |
| Immunogen | Synthetic peptide of human GCG(GLP1) |
| Formulation | pH7.4 PBS, 0.05% NaN3, 40% Glycerol |
| Application | |
|---|---|
| IHC | 1/50-1/200 |
| ELISA | 1/2000-1/5000 |
![]() |
The image is immunohistochemistry of paraffin-embedded Human thyroid cancer tissue using P04864(GCG(GLP1) Antibody) at dilution 1/40. (Original magnification: ×200) |
![]() |
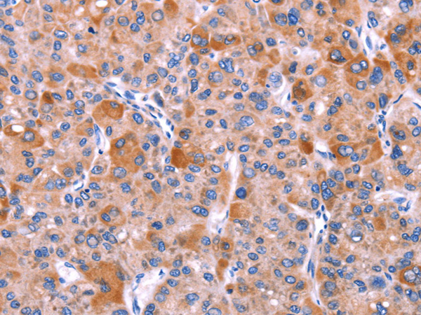
The image is immunohistochemistry of paraffin-embedded Human liver cancer tissue using P04864(GCG(GLP1) Antibody) at dilution 1/40. (Original magnification: ×200) |
本公司的所有产品仅用于科学研究或者工业应用等非医疗目的,不可用于人类或动物的临床诊断或治疗,非药用,非食用。
暂无评论
本公司的所有产品仅用于科学研究或者工业应用等非医疗目的,不可用于人类或动物的临床诊断或治疗,非药用,非食用。
中文


发表回复