别名:Beta-1,3-galactosyl-O-glycosyl-glycoprotein beta-1,6-N-acetylglucosaminyltransferase, Core 2-branching enzyme, Core2-GlcNAc-transferase, C2GNT, Core 2 GNT, GCNT1, NACGT2应用:WB,IHC
反应种属:Human, Mouse
规格:50μl/100μl
| Description |
|---|
| Glycosylation is one of the most universal but at the same time complex protein modifications. Modification with sugar moeties can be both co- translational and post- translational, occurring in the endoplasmatic reticulum and golgi. Three different forms of glycosylation can be distinguished: N-linked oligosaccharides, O-linked oligosaccharides and glycosyl- phosphatidylinositol (GPI-) anchors. Glycosylation results in thousands of distinct, bioactive glycoproteins resident throughout the cell that strongly determine protein-protein, carbohydrate-protein, membrane, and adhesion properties. Diseases associated with glycosylation defects include Congenital disorders of glycosylation, (CDG), also known as carbohydrate deficient glycoprotein syndromes, and diseases associated with advanced aging. |
| Specification | |
|---|---|
| Aliases | Beta-1,3-galactosyl-O-glycosyl-glycoprotein beta-1,6-N-acetylglucosaminyltransferase, Core 2-branching enzyme, Core2-GlcNAc-transferase, C2GNT, Core 2 GNT, GCNT1, NACGT2 |
| Entrez GeneID | 2650 |
| Swissprot | Q02742 |
| WB Predicted band size | 49.8kDa |
| Host/Isotype | Rabbit IgG |
| Storage | Store at 4°C short term. Aliquot and store at -20°C long term. Avoid freeze/thaw cycles. |
| Species Reactivity | Human, Mouse |
| Immunogen | This GCNT1 antibody is generated from rabbits immunized with a KLH conjugated synthetic peptide between 88-117 amino acids from the Central region of human GCNT1. |
| Formulation | Purified polyclonal antibody supplied in PBS with 0.05% sodium azide. This antibody is purified through a protein G column, eluted with high and low pH buffers and neutralized immediately, followed by dialysis against PBS. |
| Application | |
|---|---|
| WB | 1/1000 |
| IHC | 1/100-1/500 |
![]() |
The anti-GCNT1 Pab (Cat. #P30077) is used in Western blot to detect GCNT1 in mouse kidney tissue lysate. |
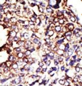
![]() |
Formalin-fixed and paraffin-embedded human cancer tissue reacted with the primary antibody, which was peroxidase-conjugated to the secondary antibody, followed by DAB staining. This data demonstrates the use of this antibody for immunohistochemistry; clinical relevance has not been evaluated. BC = breast carcinoma; HC = hepatocarcinoma. |
本公司的所有产品仅用于科学研究或者工业应用等非医疗目的,不可用于人类或动物的临床诊断或治疗,非药用,非食用。
暂无评论
本公司的所有产品仅用于科学研究或者工业应用等非医疗目的,不可用于人类或动物的临床诊断或治疗,非药用,非食用。
中文


发表回复