别名:N-acetyllactosaminide beta-1,6-N-acetylglucosaminyl-transferase, isoform B, N-acetylglucosaminyltransferase, I-branching enzyme, IGNT, GCNT2, GCNT5, II, NACGT1应用:WB,IHC
反应种属:Human, Mouse
规格:50μl/100μl
| Description |
|---|
| This gene encodes the enzyme responsible for formation of the blood group I antigen. The i and I antigens are distinguished by linear and branched poly-N-acetyllactosaminoglycans, respectively. The encoded protein is the I-branching enzyme, a beta-1,6-N-acetylglucosaminyltransferase responsible for the conversion of fetal i antigen to adult I antigen in erythrocytes during embryonic development. Mutations in this gene have been associated with adult i blood group phenotype. Alternatively spliced transcript variants encoding different isoforms have been described. |
| Specification | |
|---|---|
| Aliases | N-acetyllactosaminide beta-1,6-N-acetylglucosaminyl-transferase, isoform B, N-acetylglucosaminyltransferase, I-branching enzyme, IGNT, GCNT2, GCNT5, II, NACGT1 |
| Swissprot | Q06430 |
| Host/Isotype | Rabbit IgG |
| Storage | Store at 4°C short term. Aliquot and store at -20°C long term. Avoid freeze/thaw cycles. |
| Species Reactivity | Human, Mouse |
| Immunogen | This GCNT2 antibody is generated from rabbits immunized with a KLH conjugated synthetic peptide between 364-391 amino acids from the C-terminal region of human GCNT2. |
| Formulation | Purified polyclonal antibody supplied in PBS with 0.05% sodium azide. This antibody is purified through a protein A column, followed by peptide affinity purification. |
| Application | |
|---|---|
| WB | 1/1000 |
| IHC | 1/100-1/500 |
![]() |
GCNT2 Antibody (C-term) (Cat. #P30743) western blot analysis in mouse kidney tissue lysates (35ug/lane).This demonstrates the GCNT2 antibody detected the GCNT2 protein (arrow). |
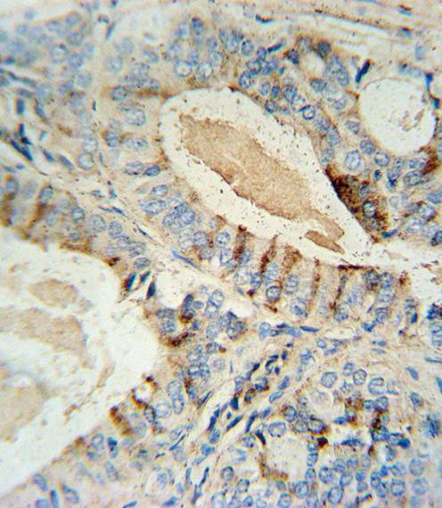
![]() |
GCNT2 antibody (C-term) (Cat. #P30743) immunohistochemistry analysis in formalin fixed and paraffin embedded human prostate carcinoma followed by peroxidase conjugation of the secondary antibody and DAB staining. This data demonstrates the use of the GCNT2 antibody (C-term) for immunohistochemistry. Clinical relevance has not been evaluated. |
本公司的所有产品仅用于科学研究或者工业应用等非医疗目的,不可用于人类或动物的临床诊断或治疗,非药用,非食用。
暂无评论
本公司的所有产品仅用于科学研究或者工业应用等非医疗目的,不可用于人类或动物的临床诊断或治疗,非药用,非食用。
中文


发表回复