别名:Growth/differentiation factor 5, GDF-5, Bone morphogenetic protein 14, BMP-14, Cartilage-derived morphogenetic protein 1, CDMP-1, Lipopolysaccharide-associated protein 4, LAP-4, LPS-associated protein 4, Radotermin, GDF5, BMP14, CDMP1应用:WB,IHC
反应种属:Human
规格:50μl/100μl
| Description |
|---|
| The protein encoded by this gene is a member of the bone morphogenetic protein (BMP) family and the TGF-beta superfamily. This group of proteins is characterized by a polybasic proteolytic processing site which is cleaved to produce a mature protein containing seven conserved cysteine residues. The members of this family are regulators of cell growth and differentiation in both embryonic and adult tissues. Mutations in this gene are associated with acromesomelic dysplasia, Hunter-Thompson type; brachydactyly, type C; and chondrodysplasia, Grebe type. These associations confirm that the gene product plays a role in skeletal development. |
| Specification | |
|---|---|
| Aliases | Growth/differentiation factor 5, GDF-5, Bone morphogenetic protein 14, BMP-14, Cartilage-derived morphogenetic protein 1, CDMP-1, Lipopolysaccharide-associated protein 4, LAP-4, LPS-associated protein 4, Radotermin, GDF5, BMP14, CDMP1 |
| Entrez GeneID | 8200 |
| Swissprot | P43026 |
| WB Predicted band size | 55.4kDa |
| Host/Isotype | Rabbit IgG |
| Storage | Store at 4°C short term. Aliquot and store at -20°C long term. Avoid freeze/thaw cycles. |
| Species Reactivity | Human |
| Immunogen | This GDF5 antibody is generated from rabbits immunized with a KLH conjugated synthetic peptide between 343-371 amino acids from the C-terminal region of human GDF5. |
| Formulation | Purified polyclonal antibody supplied in PBS with 0.05% sodium azide. This antibody is purified through a protein A column, followed by peptide affinity purification. |
| Application | |
|---|---|
| WB | 1/1000 |
| IHC | 1/100-1/500 |
![]() |
GDF5 Antibody (C-term) (Cat. #P31031) western blot analysis in MDA-MB435 cell line lysates (35ug/lane).This demonstrates the GDF5 antibody detected the GDF5 protein (arrow). |
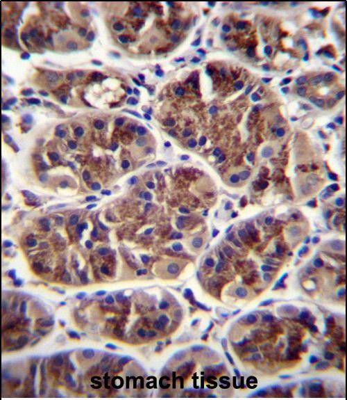
![]() |
GDF5 Antibody (C-term) (Cat. #P31031)immunohistochemistry analysis in formalin fixed and paraffin embedded human stomach tissue followed by peroxidase conjugation of the secondary antibody and DAB staining.This data demonstrates the use of GDF5 Antibody (C-term) for immunohistochemistry. Clinical relevance has not been evaluated. |
本公司的所有产品仅用于科学研究或者工业应用等非医疗目的,不可用于人类或动物的临床诊断或治疗,非药用,非食用。
暂无评论
本公司的所有产品仅用于科学研究或者工业应用等非医疗目的,不可用于人类或动物的临床诊断或治疗,非药用,非食用。
中文


发表回复