别名:p97; HC56; HCAP1; HHRF-1应用:IHC
反应种属:Human
规格:50μl/100μl
| Description |
|---|
| The product of this gene is part of a large complex localized to the cytoplasm, nucleoli, and to discrete nuclear bodies called Gemini bodies (gems). The complex functions in spliceosomal snRNP assembly in the cytoplasm, and regenerates spliceosomes required for pre-mRNA splicing in the nucleus. The encoded protein directly interacts with a DEAD box protein and several spliceosome core proteins. Alternatively spliced transcript variants have been described, but their biological validity has not been determined. |
| Specification | |
|---|---|
| Aliases | p97; HC56; HCAP1; HHRF-1 |
| Swissprot | P57678 |
| Host/Isotype | Rabbit IgG |
| Storage | Store at 4°C short term. Aliquot and store at -20°C long term. Avoid freeze/thaw cycles. |
| Species Reactivity | Human |
| Immunogen | Synthetic peptide of human GEMIN4 |
| Formulation | pH7.4 PBS, 0.05% NaN3, 40% Glycerol |
| Application | |
|---|---|
| IHC | 1/30-1/150 |
| ELISA | 1/5000-1/10000 |
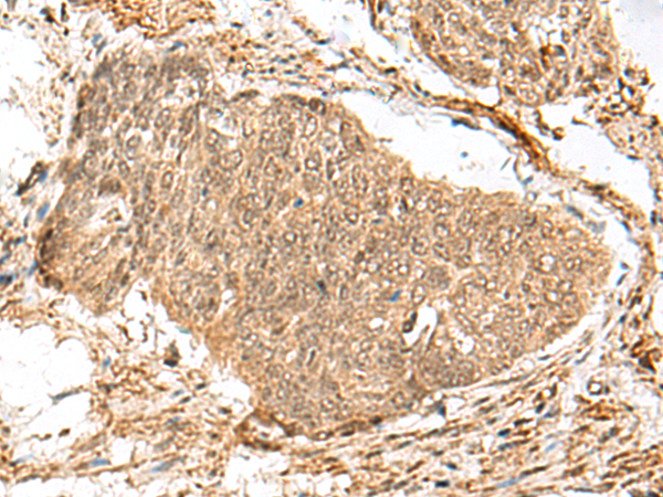
![]() |
The image is immunohistochemistry of paraffin-embedded Human liver cancer tissue using P06560(GEMIN4 Antibody) at dilution 1/30. (Original magnification: ×200) |
![]() |
The image is immunohistochemistry of paraffin-embedded Human esophagus cancer tissue using P06560(GEMIN4 Antibody) at dilution 1/30. (Original magnification: ×200) |
本公司的所有产品仅用于科学研究或者工业应用等非医疗目的,不可用于人类或动物的临床诊断或治疗,非药用,非食用。
暂无评论
本公司的所有产品仅用于科学研究或者工业应用等非医疗目的,不可用于人类或动物的临床诊断或治疗,非药用,非食用。
中文


发表回复