别名:GDNFR; RET1L; RETL1; TRNR1; GDNFRA; GFR-ALPHA-1应用:WB,IHC
反应种属:Human, Mouse, Rat
规格:50μl/100μl
| Description |
|---|
| This gene encodes a member of the glial cell line-derived neurotrophic factor receptor (GDNFR) family of proteins. The encoded preproprotein is proteolytically processed to generate the mature receptor. Glial cell line-derived neurotrophic factor (GDNF) and neurturin (NTN) are two structurally related, potent neurotrophic factors that play key roles in the control of neuron survival and differentiation. This receptor is a glycosylphosphatidylinositol (GPI)-linked cell surface receptor for both GDNF and NTN, and mediates activation of the RET tyrosine kinase receptor. This gene is a candidate gene for Hirschsprung disease. Alternative splicing results in multiple transcript variants, at least one of which encodes a preproprotein that is proteolytically processed. |
| Specification | |
|---|---|
| Aliases | GDNFR; RET1L; RETL1; TRNR1; GDNFRA; GFR-ALPHA-1 |
| Swissprot | P56159 |
| WB Predicted band size | 51 kDa |
| Host/Isotype | Rabbit IgG |
| Storage | Store at 4°C short term. Aliquot and store at -20°C long term. Avoid freeze/thaw cycles. |
| Species Reactivity | Human, Mouse, Rat |
| Immunogen | Synthetic peptide of human GFRA1 |
| Formulation | pH7.4 PBS, 0.05% NaN3, 40% Glycerol |
| Application | |
|---|---|
| WB | 1/500-1/2000 |
| IHC | 1/50-1/200 |
| ELISA | 1/5000-1/10000 |
![]() |
Gel: 8%SDS-PAGE, Lysate: 40 μg, Lane: Rat brain tissue lysate, Primary antibody: P03985(GFRA1 Antibody) at dilution 1/800, Secondary antibody: Goat anti rabbit IgG at 1/5000 dilution, Exposure time: 90 seconds |
![]() |
The image is immunohistochemistry of paraffin-embedded Human brain tissue using P03985(GFRA1 Antibody) at dilution 1/65. (Original magnification: ×200) |
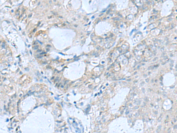
![]() |
The image is immunohistochemistry of paraffin-embedded Human ovarian cancer tissue using P03985(GFRA1 Antibody) at dilution 1/65. (Original magnification: ×200) |
本公司的所有产品仅用于科学研究或者工业应用等非医疗目的,不可用于人类或动物的临床诊断或治疗,非药用,非食用。
暂无评论
本公司的所有产品仅用于科学研究或者工业应用等非医疗目的,不可用于人类或动物的临床诊断或治疗,非药用,非食用。
中文



发表回复