别名:应用:WB,IHC
反应种属:Human
规格:50μl/100μl
| Description |
|---|
| The protein encoded by this gene is a member of the GDNF receptor family. It is a glycosylphosphatidylinositol(GPI)-linked cell surface receptor for persephin, and mediates activation of the RET tyrosine kinase receptor. This gene is a candidate gene for RET-associated diseases. Alternatively spliced transcript variants encoding different isoforms have been described for this gene. |
| Specification | |
|---|---|
| Swissprot | Q9GZZ7 |
| WB Predicted band size | 32 kDa |
| Host/Isotype | Rabbit IgG |
| Storage | Store at 4°C short term. Aliquot and store at -20°C long term. Avoid freeze/thaw cycles. |
| Species Reactivity | Human |
| Immunogen | Synthetic peptide of human GFRA4 |
| Formulation | pH7.4 PBS, 0.05% NaN3, 40% Glycerol |
| Application | |
|---|---|
| WB | 1/500-1/2000 |
| IHC | 1/50-1/100 |
| ELISA | 1/5000-1/10000 |
![]() |
Gel: 12%SDS-PAGE, Lysate: 40 μg, Lane: 231 cell lysate, Primary antibody: P04211(GFRA4 Antibody) at dilution 1/500, Secondary antibody: Goat anti rabbit IgG at 1/5000 dilution, Exposure time: 10 minutes |
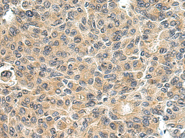
![]() |
The image is immunohistochemistry of paraffin-embedded Human liver cancer tissue using P04211(GFRA4 Antibody) at dilution 1/30. (Original magnification: ×200) |
本公司的所有产品仅用于科学研究或者工业应用等非医疗目的,不可用于人类或动物的临床诊断或治疗,非药用,非食用。
暂无评论
本公司的所有产品仅用于科学研究或者工业应用等非医疗目的,不可用于人类或动物的临床诊断或治疗,非药用,非食用。
中文


发表回复