别名:Inactive gamma-glutamyltranspeptidase 2, GGT 2, Gamma-glutamyltransferase 2, Glutathione hydrolase 2, GGT2应用:WB,IHC
反应种属:Human
规格:50μl/100μl
| Description |
|---|
| GGT2 initiates extracellular glutathione (GSH) breakdown; catalyzes the transfer of the glutamyl moiety of glutathione to amino acids and dipeptide acceptors (By similarity). |
| Specification | |
|---|---|
| Aliases | Inactive gamma-glutamyltranspeptidase 2, GGT 2, Gamma-glutamyltransferase 2, Glutathione hydrolase 2, GGT2 |
| Swissprot | P36268 |
| WB Predicted band size | 61.8kDa |
| Host/Isotype | Rabbit IgG |
| Storage | Store at 4°C short term. Aliquot and store at -20°C long term. Avoid freeze/thaw cycles. |
| Species Reactivity | Human |
| Immunogen | This GGT2 antibody is generated from rabbits immunized with a KLH conjugated synthetic peptide between 12-40 amino acids from the N-terminal region of human GGT2. |
| Formulation | Purified polyclonal antibody supplied in PBS with 0.05% sodium azide. This antibody is purified through a protein A column, followed by peptide affinity purification. |
| Application | |
|---|---|
| WB | 1/1000 |
| IHC | 1/100-1/500 |
![]() |
GGT2 Antibody (N-term) (Cat. #P31174) western blot analysis in HepG2 cell line lysates (35ug/lane).This demonstrates the GGT2 antibody detected the GGT2 protein (arrow). |
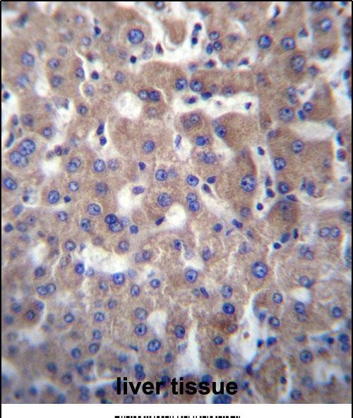
![]() |
GGT2 Antibody (N-term) (Cat. #P31174)immunohistochemistry analysis in formalin fixed and paraffin embedded human liver tissue followed by peroxidase conjugation of the secondary antibody and DAB staining.This data demonstrates the use of GGT2 Antibody (N-term) for immunohistochemistry. Clinical relevance has not been evaluated. |
本公司的所有产品仅用于科学研究或者工业应用等非医疗目的,不可用于人类或动物的临床诊断或治疗,非药用,非食用。
暂无评论
本公司的所有产品仅用于科学研究或者工业应用等非医疗目的,不可用于人类或动物的临床诊断或治疗,非药用,非食用。
中文


发表回复