别名:LGP1; D11LGP1应用:IHC
反应种属:Human
规格:50μl/100μl
| Description |
|---|
| GHDC, also known as LGP1, is a GH3 domain-containing protein that is highly expressed in normal mammary tissues and mammary tumors. GHDC is primarily located in the nuclear envelope. In mouse, its gene is located on chromosome 11 adjacent to the STAT3/5 locus. Little is known of the function of this protein. |
| Specification | |
|---|---|
| Aliases | LGP1; D11LGP1 |
| Swissprot | Q8N2G8 |
| Host/Isotype | Rabbit IgG |
| Storage | Store at 4°C short term. Aliquot and store at -20°C long term. Avoid freeze/thaw cycles. |
| Species Reactivity | Human |
| Immunogen | Synthetic peptide of human GHDC |
| Formulation | pH7.4 PBS, 0.05% NaN3, 40% Glycerol |
| Application | |
|---|---|
| IHC | 1/50-1/300 |
| ELISA | 1/5000-1/10000 |
![]() |
The image is immunohistochemistry of paraffin-embedded Human esophagus cancer tissue using P13460(GHDC Antibody) at dilution 1/90. (Original magnification: ×200) |
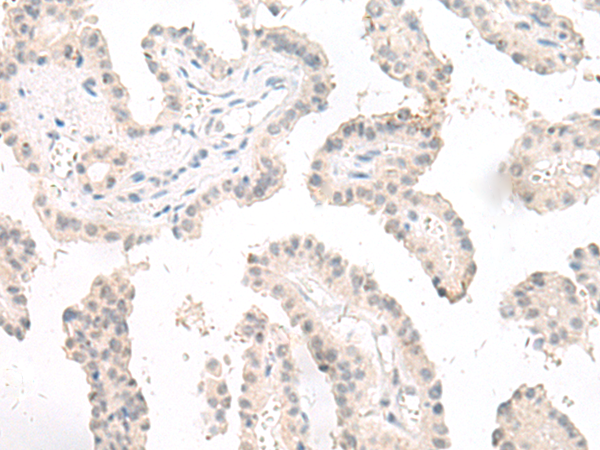
![]() |
The image is immunohistochemistry of paraffin-embedded Human thyroid cancer tissue using P13460(GHDC Antibody) at dilution 1/90. (Original magnification: ×200) |
本公司的所有产品仅用于科学研究或者工业应用等非医疗目的,不可用于人类或动物的临床诊断或治疗,非药用,非食用。
暂无评论
本公司的所有产品仅用于科学研究或者工业应用等非医疗目的,不可用于人类或动物的临床诊断或治疗,非药用,非食用。
中文


发表回复