别名:MTLRP应用:IHC
反应种属:Human, Mouse, Rat
规格:50μl/100μl
| Description |
|---|
| This gene encodes the ghrelin-obestatin preproprotein that is cleaved to yield two peptides, ghrelin and obestatin. Ghrelin is a powerful appetite stimulant and plays an important role in energy homeostasis. Its secretion is initiated when the stomach is empty, whereupon it binds to the growth hormone secretagogue receptor in the hypothalamus which results in the secretion of growth hormone (somatotropin). Ghrelin is thought to regulate multiple activities, including hunger, reward perception via the mesolimbic pathway, gastric acid secretion, gastrointestinal motility, and pancreatic glucose-stimulated insulin secretion. It was initially proposed that obestatin plays an opposing role to ghrelin by promoting satiety and thus decreasing food intake, but this action is still debated. Recent reports suggest multiple metabolic roles for obestatin, including regulating adipocyte function and glucose metabolism. Alternative splicing results in multiple transcript variants. In addition, antisense transcripts for this gene have been identified and may potentially regulate ghrelin-obestatin preproprotein expression. |
| Specification | |
|---|---|
| Aliases | MTLRP |
| Swissprot | Q9UBU3 |
| Host/Isotype | Rabbit IgG |
| Storage | Store at 4°C short term. Aliquot and store at -20°C long term. Avoid freeze/thaw cycles. |
| Species Reactivity | Human, Mouse, Rat |
| Immunogen | Synthetic peptide of human GHRL |
| Formulation | pH7.4 PBS, 0.05% NaN3, 40% Glycerol |
| Application | |
|---|---|
| IHC | 1/25-1/100 |
| ELISA | 1/5000-1/10000 |
![]() |
The image is immunohistochemistry of paraffin-embedded Human breast cancer tissue using P12741(GHRL Antibody) at dilution 1/30. (Original magnification: ×200) |
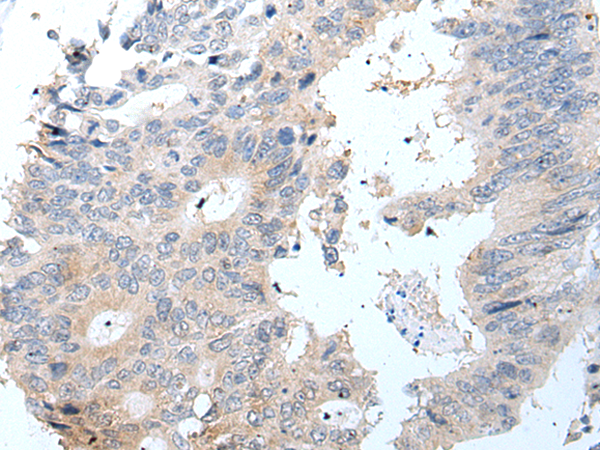
![]() |
The image is immunohistochemistry of paraffin-embedded Human colorectal cancer tissue using P12741(GHRL Antibody) at dilution 1/30. (Original magnification: ×200) |
本公司的所有产品仅用于科学研究或者工业应用等非医疗目的,不可用于人类或动物的临床诊断或治疗,非药用,非食用。
暂无评论
本公司的所有产品仅用于科学研究或者工业应用等非医疗目的,不可用于人类或动物的临床诊断或治疗,非药用,非食用。
中文


发表回复