别名:PSF1; RP4-691N24.2应用:IHC
反应种属:Human, Mouse
规格:50μl/100μl
| Description |
|---|
| DNA replication complex GINS protein PSF1 is a protein that in humans is encoded by the GINS1 gene. The GINS complex plays an essential role in the initiation of DNA replication, and progression of DNA replication forks. GINS complex seems to bind preferentially to single-stranded DNA. GINS1 is essential for function. Component of the GINS complex which is a heterotetramer of GINS1, GINS2, GINS3 and GINS4. Forms a stable subcomplex with GINS4. GINS complex interacts with DNA primase in vitro. |
| Specification | |
|---|---|
| Aliases | PSF1; RP4-691N24.2 |
| Swissprot | Q14691 |
| Host/Isotype | Rabbit IgG |
| Storage | Store at 4°C short term. Aliquot and store at -20°C long term. Avoid freeze/thaw cycles. |
| Species Reactivity | Human, Mouse |
| Immunogen | Synthetic peptide of human GINS1 |
| Formulation | pH7.4 PBS, 0.05% NaN3, 40% Glycerol |
| Application | |
|---|---|
| IHC | 1/25-1/100 |
| ELISA | 1/1000-1/2000 |
![]() |
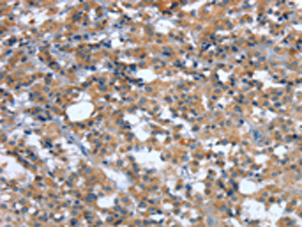
The image is immunohistochemistry of paraffin-embedded Human liver cancer tissue using P11534(GINS1 Antibody) at dilution 1/25. (Original magnification: ×200) |
![]() |
The image is immunohistochemistry of paraffin-embedded Human thyroid cancer tissue using P11534(GINS1 Antibody) at dilution 1/25. (Original magnification: ×200) |
本公司的所有产品仅用于科学研究或者工业应用等非医疗目的,不可用于人类或动物的临床诊断或治疗,非药用,非食用。
暂无评论
本公司的所有产品仅用于科学研究或者工业应用等非医疗目的,不可用于人类或动物的临床诊断或治疗,非药用,非食用。
中文


发表回复