别名:Gap junction alpha-9 protein, Connexin-58, Cx58, Connexin-59, Cx59, Gap junction alpha-10 protein, GJA9, GJA10应用:WB,IHC
反应种属:Human, Mouse
规格:50μl/100μl
| Description |
|---|
| GJA8 is a an integral membrane protein that belongs to the connexin family, alpha-type (group II) subfamily. One gap junction consists of a cluster of closely packed pairs of transmembrane channels, the connexons, through which materials of low MW diffuse from one cell to a neighboring cell. A connexon is composed of a hexamer of connexins. |
| Specification | |
|---|---|
| Aliases | Gap junction alpha-9 protein, Connexin-58, Cx58, Connexin-59, Cx59, Gap junction alpha-10 protein, GJA9, GJA10 |
| Entrez GeneID | 81025 |
| Swissprot | P57773 |
| WB Predicted band size | 58.8kDa |
| Host/Isotype | Rabbit IgG |
| Storage | Store at 4°C short term. Aliquot and store at -20°C long term. Avoid freeze/thaw cycles. |
| Species Reactivity | Human, Mouse |
| Immunogen | This GJA10 antibody is generated from rabbits immunized with a KLH conjugated synthetic peptide between 484-515 amino acids from the C-terminal region of human GJA10. |
| Formulation | Purified polyclonal antibody supplied in PBS with 0.05% sodium azide. This antibody is prepared by Saturated Ammonium Sulfate (SAS) precipitation followed by dialysis against PBS. |
| Application | |
|---|---|
| WB | 1/1000 |
| IHC | 1/100-1/500 |
![]() |
Western blot analysis of GJA10 Antibody (C-term) (Cat.#P30054) in mouse heart tissue lysates (35ug/lane). GJA10 (arrow) was detected using the purified Pab. |
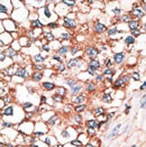
![]() |
Formalin-fixed and paraffin-embedded human cancer tissue reacted with the primary antibody, which was peroxidase-conjugated to the secondary antibody, followed by AEC staining. This data demonstrates the use of this antibody for immunohistochemistry; clinical relevance has not been evaluated. BC = breast carcinoma; HC = hepatocarcinoma. |
本公司的所有产品仅用于科学研究或者工业应用等非医疗目的,不可用于人类或动物的临床诊断或治疗,非药用,非食用。
暂无评论
本公司的所有产品仅用于科学研究或者工业应用等非医疗目的,不可用于人类或动物的临床诊断或治疗,非药用,非食用。
中文


发表回复