别名:Cx47; HLD2; GJA12; SPG44; CX46.6; LMPH1C; LMPHM3; PMLDAR应用:IHC
反应种属:Human
规格:50μl/100μl
| Description |
|---|
| This gene encodes a gap junction protein. Gap junction proteins are members of a large family of homologous connexins and comprise 4 transmembrane, 2 extracellular, and 3 cytoplasmic domains. This gene plays a key role in central myelination and is involved in peripheral myelination in humans. Defects in this gene are the cause of autosomal recessive Pelizaeus-Merzbacher-like disease-1. |
| Specification | |
|---|---|
| Aliases | Cx47; HLD2; GJA12; SPG44; CX46.6; LMPH1C; LMPHM3; PMLDAR |
| Swissprot | Q5T442 |
| Host/Isotype | Rabbit IgG |
| Storage | Store at 4°C short term. Aliquot and store at -20°C long term. Avoid freeze/thaw cycles. |
| Species Reactivity | Human |
| Immunogen | Synthetic peptide of human GJC2 |
| Formulation | pH7.4 PBS, 0.05% NaN3, 40% Glycerol |
| Application | |
|---|---|
| IHC | 1/50-1/200 |
| ELISA | 1/5000-1/10000 |
![]() |
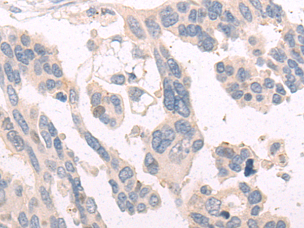
The image is immunohistochemistry of paraffin-embedded Human gastric cancer tissue using P13803(GJC2 Antibody) at dilution 1/50. (Original magnification: ×200) |
![]() |
The image is immunohistochemistry of paraffin-embedded Human colorectal cancer tissue using P13803(GJC2 Antibody) at dilution 1/50. (Original magnification: ×200) |
本公司的所有产品仅用于科学研究或者工业应用等非医疗目的,不可用于人类或动物的临床诊断或治疗,非药用,非食用。
暂无评论
本公司的所有产品仅用于科学研究或者工业应用等非医疗目的,不可用于人类或动物的临床诊断或治疗,非药用,非食用。
中文


发表回复